乳牙氟斑牙

为什么我的牙齿会变成氟斑牙?
图片尺寸640x427
轻度氟斑牙,曾经做过渗透树脂,白斑还是很明显;想用微研磨去除白斑,但
图片尺寸690x425
氟斑牙就是慢性氟中毒在牙齿上的一种表现,通常是在7岁之前儿童牙釉质
图片尺寸640x334
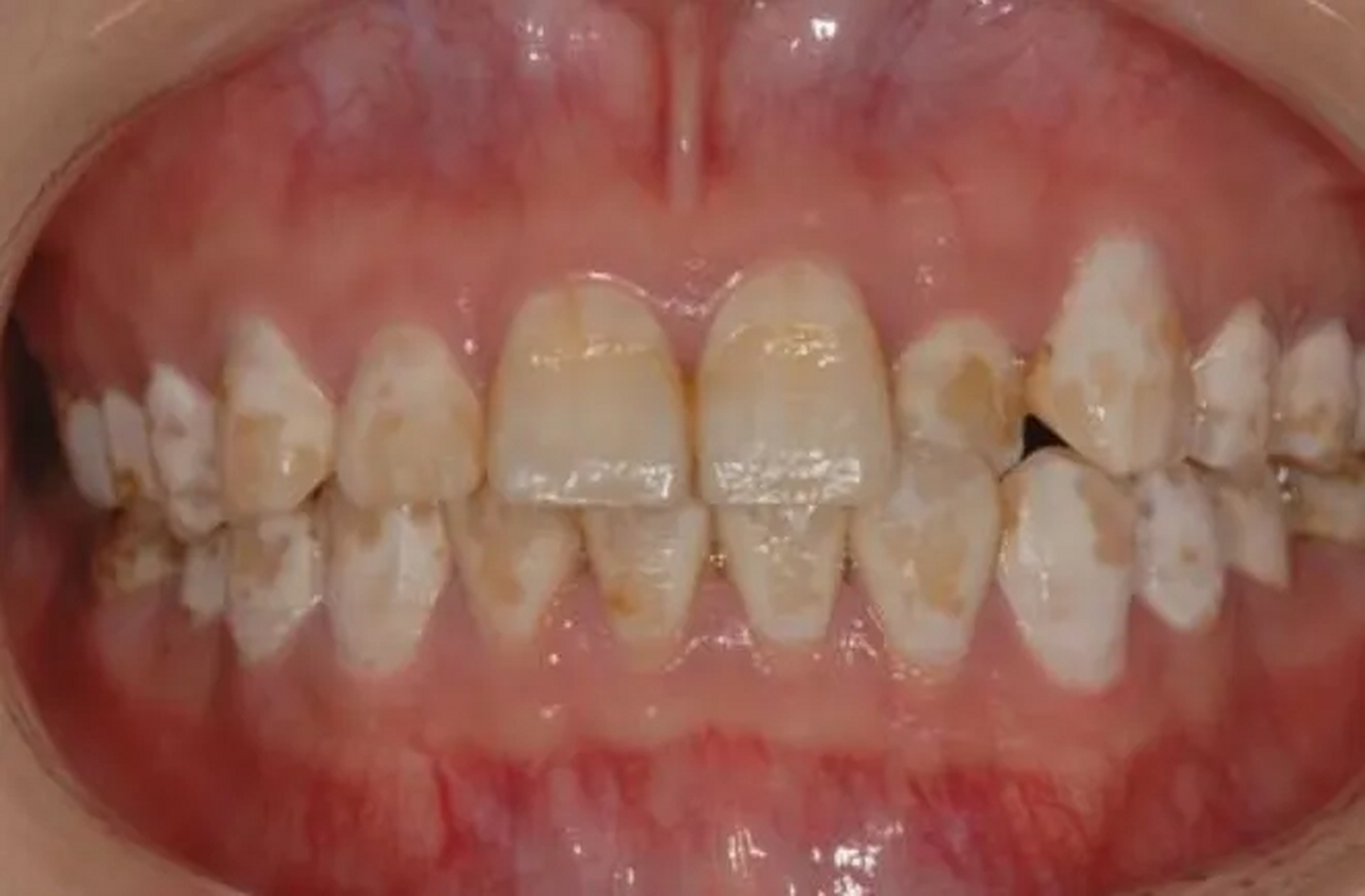
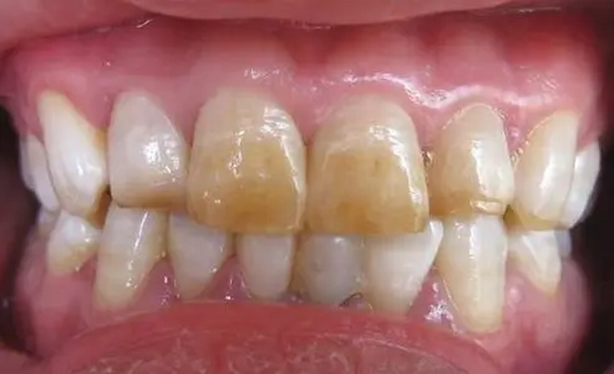
氟斑牙又称斑釉或黄斑牙,是一种与饮用水中氟含量过高有关的牙齿疾病
图片尺寸1949x1280
牙齿美白.重度氟斑牙诊室美白即刻效果,黄斑消失,效果满意,橡 - 抖音
图片尺寸1080x1440
斑釉症,又称氟斑牙,黄斑牙,多发生在恒牙,乳牙很少见
图片尺寸640x360
儿童氟斑牙
图片尺寸600x401
氟斑牙,希望口腔方面的医生帮忙诊断一下
图片尺寸720x960
氟斑牙要怎样治疗这4种方法很重要
图片尺寸1200x801
氟斑牙怎么去除氟斑牙不治疗会越来越严重吗
图片尺寸738x438
轻中度氟牙症氟斑牙微研磨治疗 - 炎燃熊熊 - 炎燃熊熊的博客
图片尺寸510x375
轻度氟斑牙微创修复两例
图片尺寸1024x739
氟斑牙又称斑釉或黄斑牙,是一种与饮用水中氟含量过高有关的牙齿疾病
图片尺寸2103x1280
病例分享渗透树脂治疗氟斑牙前牙一例
图片尺寸1080x724
氟斑牙知多少
图片尺寸452x267
氟斑牙缺失后的种植修复病例
图片尺寸642x362
氟斑牙怎么治疗比较好?
图片尺寸500x269
本人是轻度氟斑牙,牙齿略发黄,主要是表面有白斑,不_圈子-新氧美容
图片尺寸3984x2656
轻度氟斑牙怎么治疗比较好? - 知乎
图片尺寸1024x631
氟斑牙如何美白
图片尺寸333x200