乳牙牙位

乳牙牙位记录图
图片尺寸591x393
娃出牙晚就得补钙乳牙龋齿没关系关于乳牙的误区你中了几个
图片尺寸640x427
了解牙科ppt 乳牙牙位记录 右 中线 左 55 54 53 52 51 61 62 63 64
图片尺寸1080x810
了解牙科ppt
图片尺寸1080x810
乳牙啥时候掉怎么掉是正常的
图片尺寸406x425
孩子乳牙还没掉,新牙就长出来了,拔还是不拔?
图片尺寸600x400
首先我们来捋一捋需要做窝沟封闭的牙齿们,左图是乳牙牙位,右图是恒牙
图片尺寸1042x470
第1次萌出的叫乳牙,上下颌左右侧各5个,共20个,其中乳切牙8颗,乳尖牙4
图片尺寸640x500
乳牙,恒牙的名称,牙位,形态和正常萌出,换牙的时间 (转载)
图片尺寸960x720
乳牙纪念盒创意男孩女孩儿童牙齿收藏盒宝宝掉换牙保存盒子刻字下单
图片尺寸750x507
乳牙,恒牙的名称,牙位,形态和正常萌出,换牙的时间 (转载)
图片尺寸960x720
宝宝乳牙的萌出有自己的"习惯性"顺序,最先萌出的是下面的两颗中切牙
图片尺寸600x454
牙科机构爱康健齿科专家介绍,临床上经常见到的是个别牙位的乳牙滞留
图片尺寸640x427
乳牙牙位记录 Ⅴ Ⅳ Ⅲ Ⅱ Ⅰ Ⅰ Ⅱ Ⅲ Ⅳ Ⅴ
图片尺寸1080x810
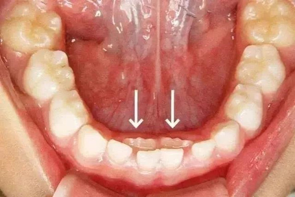
为什么我家孩子新牙长出了, 乳牙还没掉?
图片尺寸800x1055
乳牙列
图片尺寸628x574
1.乳牙是儿童咀嚼器官的重要组成部分.
图片尺寸438x415
了解一种乳牙恒牙牙位记录方法人的一生只有两副牙齿——乳牙和恒牙
图片尺寸358x575
换牙期家长必须储备的最全攻略,一看就懂|乳牙|恒牙|磨牙|牙齿_网易
图片尺寸640x480
一般情况下,宝宝6个月左右会萌出第一颗乳牙,到2岁半左右,乳牙就基本
图片尺寸640x518