乳牙补牙

儿童补牙应该注意些什么?
图片尺寸450x178
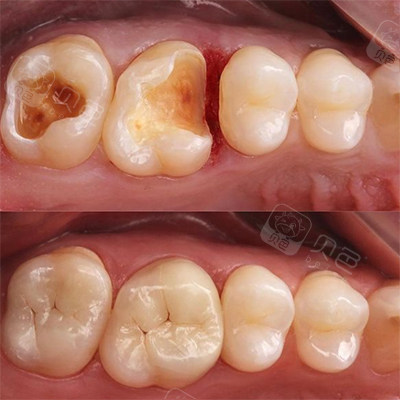
补牙前后对比
图片尺寸400x400
小朋友补牙的朋友圈说说
图片尺寸500x328
乳牙部分去腐方法
图片尺寸501x211
补牙怎么补
图片尺寸1000x667
孩子乳牙得了蛀牙,有牙窟窿出现,该不该给孩子补牙呢?
图片尺寸350x200
再下面一张就是补牙完成后的照片了
图片尺寸5184x3456
用高粘度玻璃离子填充75号乳牙
图片尺寸560x368
乳牙龋坏要补吗?
图片尺寸2020x2288
补牙细节图
图片尺寸560x285
孩子乳牙烂了大洞?不要慌,可以这样修复_口腔_预成冠_母婴_育儿经验
图片尺寸1080x607
儿童蛀牙
图片尺寸546x178
北京的儿童医院补牙一般多少钱这个附带医院介绍的价格表属实不错
图片尺寸330x426
补牙
图片尺寸500x306
妈妈们乳牙补牙材料知多少
图片尺寸640x916
3m纳米树脂:美国3m纳米树脂补牙能保障填充体外形的修复,咀嚼功能的
图片尺寸300x203
宝妈说儿童补牙被忽悠做牙冠,小孩有必要做乳牙预成冠吗
图片尺寸322x274
1月补牙病例
图片尺寸500x785
儿童乳牙龋齿充填案例
图片尺寸1080x720
柳州口腔医院补牙价格表拔智齿阻生:880元起拔智齿普通:580元起乳牙
图片尺寸500x298