乳牙钙化

仔细看看你家孩子的乳牙也有这些问题吗
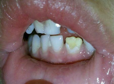
图片尺寸500x358
原创宝宝16颗烂牙花了40000多,牙科医生:请重视宝宝的乳牙健康!
图片尺寸2000x1340
1,对比恒牙来讲,乳牙的钙化程度低,耐酸性差,所以更加容易受酸性物质
图片尺寸570x540
宝宝牙齿钙化轻度图片(乳牙龋坏不用治) - 赤虎壹号
图片尺寸1023x682
journal_insert_pic_723848487
图片尺寸400x400
宝宝乳牙长小白点没关系妈妈可千万不能大意
图片尺寸624x380
宝宝牙齿出现白斑!妈妈们赶紧了解一下乳牙脱矿
图片尺寸500x344
宝宝牙齿出现白斑!妈妈们赶紧了解一下乳牙脱矿
图片尺寸674x291
快看看你家宝宝的乳牙,这件事千万别大意了!
图片尺寸480x358
宝宝牙齿钙化轻度图片(乳牙龋坏不用治) - 赤虎壹号
图片尺寸1000x667
换牙后恒牙颜色较乳牙偏黄,切缘有 "锯齿"
图片尺寸335x214
宝宝乳牙黑怎么办(小宝乳牙黑了,怎么补救)
图片尺寸1500x2000
2岁孩子不得不全身麻醉治疗,竟然是因为母乳
图片尺寸599x396
宝宝牙齿钙化轻度图片(omg) - 赤虎壹号
图片尺寸542x269
乳牙有龋齿是补还是拔
图片尺寸1000x686
宝宝的乳牙坏了没关系反正迟早要换牙齿的真的是这样的么
图片尺寸495x352
宝宝牙齿钙化轻度图片(乳牙龋坏不用治) - 赤虎壹号
图片尺寸439x531
直观的进行自我判断, 始重视孩子乳牙的日常护理
图片尺寸500x344
宝宝乳牙斜怎么办(宝宝的乳牙歪了是什么原因)
图片尺寸720x960
育儿辟谣系列七乳牙反正也要换坏了也没关系
图片尺寸450x330