乳糜胸积液图片

图示乳糜胸,右胸膜腔充满黄褐色云絮状液体.
图片尺寸504x331
胸闷呼吸困难引流出乳糜样胸腔积液罪魁祸首令人惊讶
图片尺寸554x430
呼吸疗法与饮食疗法治疗乳糜胸
图片尺寸643x800
肺及纵隔结构未见异常; 3,胸液外观及实验室检查均支持乳糜性胸腔积液
图片尺寸512x512
术前:每日乳糜胸引流量1200毫升左右.
图片尺寸750x1130
患者咳嗽胸闷气短乳白色胸腔积液意味着感染or恶性肿瘤形成乳糜胸的
图片尺寸537x536
乳糜胸的健康小指导
图片尺寸498x611
术后乳糜胸水
图片尺寸900x1200
因为咳嗽就诊,武汉小伙小刘被发现有胸腔积液
图片尺寸600x450
肺癌患者出现乳糜胸和乳糜心包1例 患者,男,年龄70岁,既往每年吸烟80
图片尺寸639x720
乳糜性胸水咋确定
图片尺寸555x422
血性:肋骨骨折或恶性肿瘤 黑色:曲菌感染 乳状:乳糜胸 当胸腹水大于
图片尺寸1080x810
乳糜胸
图片尺寸220x150
外院胸片示双侧胸腔积液,予放胸水,多次行胸水乳糜实验 .
图片尺寸680x382
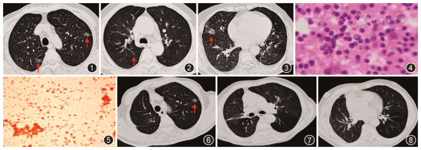
首发表现为双侧乳糜胸的胸腺瘤1例
图片尺寸569x421
乳糜胸了解一下
图片尺寸640x480
病例报告以反复淡黄色澄清胸腔积液为特征的肺癌术后迟发性乳糜胸一例
图片尺寸822x293
呼吸疗法与饮食疗法治疗乳糜胸
图片尺寸470x800
男性乳糜胸,罪魁祸首竟是肝硬化门脉高压?_患者_治疗_胸腔
图片尺寸1080x810
乳糜胸原因待查
图片尺寸512x512