乳腺癌镜下观

青云科普 | 毕蕊医生:乳腺癌诊断"金标准"——病理学检查
图片尺寸693x521
常见浸润性乳腺癌
图片尺寸3024x4032
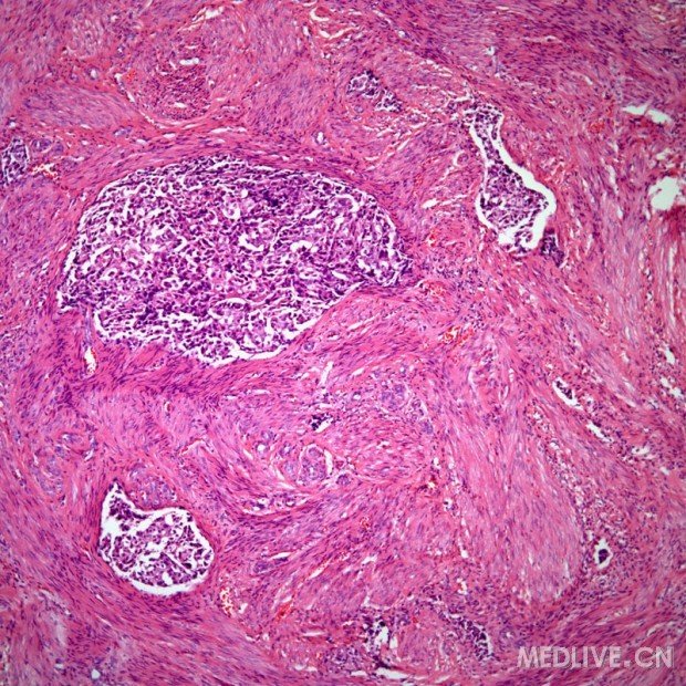
图片转移性乳腺癌病理学图片
图片尺寸620x620
乳腺癌病理he切片
图片尺寸3072x4096
常见浸润性乳腺癌
图片尺寸3024x4032
常见浸润性乳腺癌
图片尺寸3024x4032
常见浸润性乳腺癌
图片尺寸3024x4032
青云科普 | 毕蕊医生:乳腺癌诊断"金标准"——病理学检查
图片尺寸693x521
111乳腺肿块:镜下像什么?
图片尺寸960x720
乳腺癌的病理学分类及组织学分级
图片尺寸760x573
任何肿瘤组织都由实质和间质两部分构成,如图为乳腺癌之镜下观,以下
图片尺寸360x533
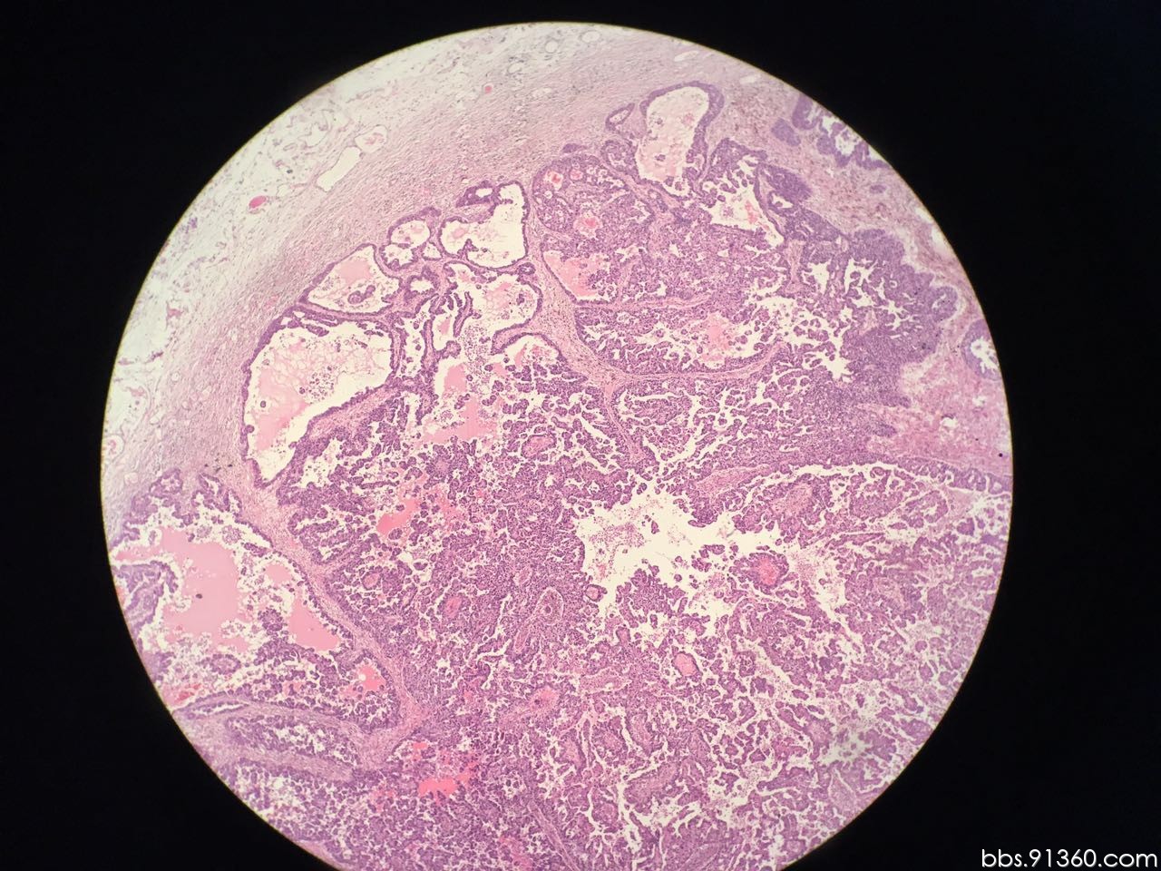
左乳腺肿物 浸润性癌讨论病例2019.4.
图片尺寸3264x2448
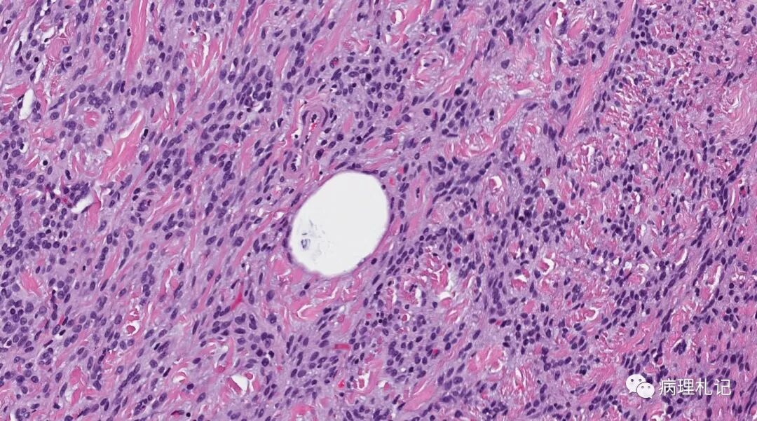
乳腺癌的镜下表现
图片尺寸600x360
乳腺癌病理
图片尺寸2000x2000
光镜下乳腺癌
图片尺寸3840x2160
在高倍镜下观察乳腺组织照片
图片尺寸459x300
26【中美加乳腺病理交流群病例307】
图片尺寸3024x3024
病理视角乳腺浸润性小叶癌
图片尺寸1080x601
乳腺乳头状癌一例2017.8.30【中美加乳腺病理交流群病例153】
图片尺寸1280x960
图片转移性乳腺癌病理学图片
图片尺寸620x620