乳腺 切片

乳腺不典型增生——风险评估和管理方案
图片尺寸1200x1135
乳腺冰冻切片讨论2017.07.01【91360乳腺病理沙龙病例讨论57】
图片尺寸1280x960
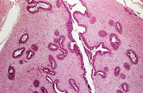
正常乳腺腺泡与癌
图片尺寸1080x1439
【求助】求帮看小鼠乳腺组织he染色切片
图片尺寸2560x1920
nejm:乳腺不典型增生的诊疗规范进展
图片尺寸575x625
26岁,乳腺肿物.
图片尺寸1076x1096
乳腺冰冻切片讨论2017.07.01【91360乳腺病理沙龙病例讨论57】
图片尺寸1280x960
罕见的青年女性双侧乳腺paget病
图片尺寸600x450
乳腺病理诊断的难点及陷阱不典型大汗腺增生性病变
图片尺寸1198x905
在高倍镜下观察乳腺组织照片
图片尺寸459x300
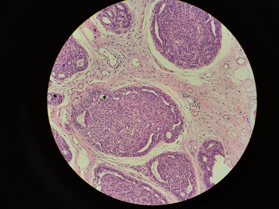
乳腺小管癌
图片尺寸1920x1440
女,36,乳腺组织
图片尺寸960x720
乳腺病理诊断的难点及陷阱不典型大汗腺增生性病变
图片尺寸1205x906
二,静止期乳腺 静止期乳腺(图 19-7-1)的腺体不发达,仅见少量导管和
图片尺寸2048x1536
26【中美加乳腺病理交流群病例307】
图片尺寸3024x3024
生气影响乳腺图片
图片尺寸300x300
12【中美加乳腺病理交流群病例331】
图片尺寸3264x2448
【求助】求帮看小鼠乳腺组织he染色切片
图片尺寸2560x1920![【求助】昨天下午做的一乳房肿块,切开却是…… [病例帖]](https://i.ecywang.com/upload/1/img1.baidu.com/it/u=3421194553,4123388747&fm=253&fmt=auto&app=138&f=JPEG?w=667&h=500)
【求助】昨天下午做的一乳房肿块,切开却是…… [病例帖]
图片尺寸2048x1536
乳腺癌病理
图片尺寸2000x2000