产血小板巨核细胞

产血小板型巨核细胞 28
图片尺寸650x484
产血小板型巨核细胞
图片尺寸1080x1439
图3:裸巨核细胞,瑞-吉染色法,x1000图2:巨大血小板,瑞-吉染色法,x1000
图片尺寸1000x750
一例巨大血小板病例引发的深思
图片尺寸486x645
医学检验 #医学 请问这是产血小板巨核细胞吗?
图片尺寸1080x1080
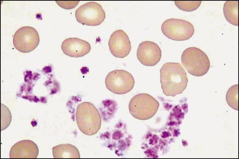
镜下的形态如下图所示:可见巨大血小板(如图1,图2),少量中,晚幼粒细胞
图片尺寸1000x750
巨大血小板
图片尺寸441x280
产血小板型巨核细胞; 5.裸核
图片尺寸1080x810
答案:小巨核细胞
图片尺寸2000x2000
产板巨.jpg
图片尺寸1280x960
巨核细胞:又分颗粒巨,产板巨和裸核幼稚巨核细胞:原始巨核细胞:巨核
图片尺寸602x1125
后来,在女性患者外周血涂片中发现有巨大血小板和中性粒细胞包涵体
图片尺寸472x345
产板巨核细胞进入血流中经过高速翻滚,血小板及胞浆很易脱落,形成光棍
图片尺寸645x738
复习课件答案ppt 显微镜下血细胞的形态示意图 1 白细胞 2 血小板
图片尺寸1080x810
巨核细胞增生不良导致血小板减少
图片尺寸401x307
检验质量控制中心第17次形态学培训答案 写美篇 第四题:蛇形血小板
图片尺寸1200x1064
可见巨大血小板(如图1,图2),少量中,晚幼粒细胞及原始细胞
图片尺寸1000x750
血小板
图片尺寸800x534
可出现聚集现象,但无血小板形成;胞核巨大,不规则,可见扭曲,折叠
图片尺寸1740x1740
板凳回复mofei20462011-06-22 08:37:28血小板明显增多,红细胞明显
图片尺寸979x702