人类头骨牙齿

特写照片灰色人类头骨颜色牙齿摄影棚拍摄
图片尺寸700x505
白色背景上的人类牙齿(头骨)模型
图片尺寸1200x795
白色背景上的人类牙齿(头骨)模型
图片尺寸1200x795
有蛀牙的牙齿,断牙的人类头骨
图片尺寸1200x800
和成年人头骨最大的区别,除了大小外,就是那两排牙齿
图片尺寸1159x1280
棕色人类头骨头骨颜色牙齿骨头人类骨骼人体部位人类头骨
图片尺寸700x969
人头骨,脸颊,人的牙齿,人的头部,人的脸部
图片尺寸1200x800
x射线照片人类头骨x射线x射线照片伦琴牙齿
图片尺寸700x362
早期人类头骨牙齿 张龙摄影
图片尺寸600x397
骷髅,人类的头颅骨显示根牙齿
图片尺寸731x1023
人头骨,脸颊,人的牙齿,人的头部,人的脸部
图片尺寸1200x800
一个真正的人类头骨, 特写在光的背景下牙齿和牙齿金属柱的三维渲染
图片尺寸300x300
一个有牙齿的人类头骨模型放在一张黑色木头桌子上,黑色的背景.
图片尺寸800x1200
人头骨,脸颊,人的牙齿,人的头部,人的脸部
图片尺寸1200x800
人在6~13岁的这一段时间,都曾经拥有过这样一个"小怪兽"版本的头骨
图片尺寸640x565
黄色牙齿的人类头骨
图片尺寸1200x790
人类头骨,白色背景上有明显的牙齿照片摄影图片
图片尺寸1600x1168
小孩子换牙前,他的牙齿是这样的. 图中是一个带有乳牙的儿童头骨.
图片尺寸1280x1280
人类头骨的脸和牙齿
图片尺寸800x1200
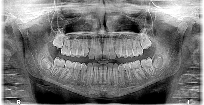
全景牙科x光,人类头骨和牙齿
图片尺寸1200x600