什么叫龋齿图片

孩子龋病疼得厉害,这些治疗方式要知道!
图片尺寸1200x1600
围观,看看你有没有这些蛀牙情况?
图片尺寸1167x752
然而,由于饮食习惯,口腔卫生等多种因素,龋齿问题仍然普遍存在
图片尺寸1080x1439
你有龋齿吗?
烂牙警告⚠#龋齿 #保
图片尺寸1080x1440
小龋齿威胁大,定期涂氟防患未然,呵护孩子口腔健康!
图片尺寸1080x690
龋齿,俗称蛀牙,是牙齿硬组织逐渐被酸性物质腐蚀的过程
图片尺寸900x1200
蛀齿在医学上又称为龋齿,所以二者是同一疾病,在本质上没有区别
图片尺寸960x1280
这些,很可能就是龋齿在作祟
图片尺寸960x1280
牙齿图片龋齿的图片牙齿根部腐蚀初期图片龋齿是什么样子的图片坏牙齿
图片尺寸1365x2048
龋齿
图片尺寸1587x2245
宝宝不爱刷牙的后果太吓人了,宝宝一定要好好刷牙
图片尺寸2160x2880
别有洞天的蛀牙
图片尺寸1600x1066
,就要尽早修补哦!为什么呢?
图片尺寸1080x1596
🦷 龋齿的形成与防治
图片尺寸1200x800
小孩龋齿疼有什么办法缓解吗
图片尺寸1280x915
蛀牙 请止步于"浅龋",
别再等到
图片尺寸1080x2243
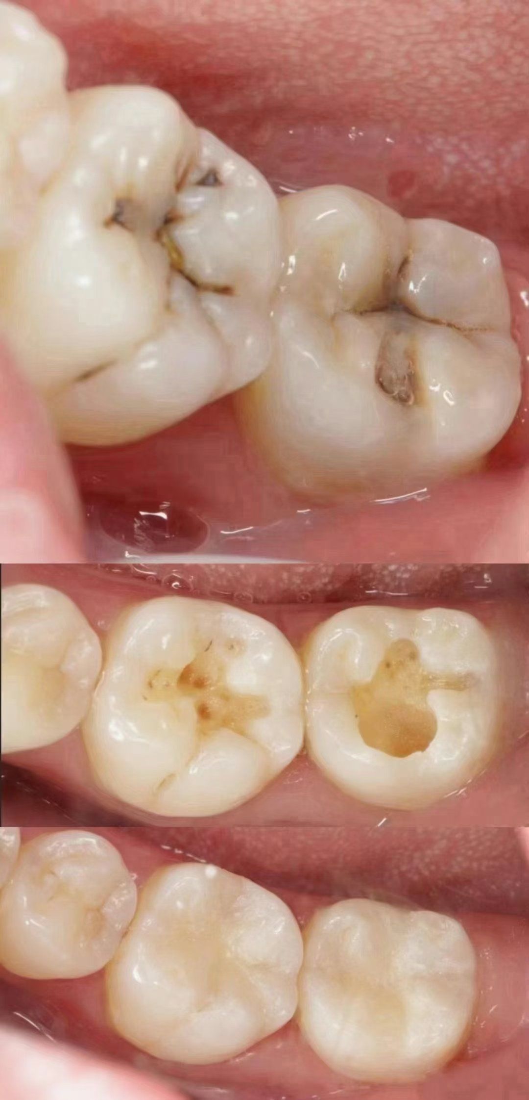
龋齿
图片尺寸938x1048
蛀牙
图片尺寸1080x1382
奶瓶龋齿早期图片
图片尺寸500x666
莲之花口腔科普
图片尺寸690x785