休门氏病ct图片

休门氏病(青少年驼背最常见病因)的影像表现与临床
图片尺寸450x680
脊柱相关scheuermannsdisease休门氏病
图片尺寸640x383
脊柱相关scheuermannsdisease休门氏病
图片尺寸1080x1153
要警惕这个病!_休门
图片尺寸1026x538
休门氏病(青少年驼背最常见病因)的影像表现与临床
图片尺寸1080x674
脊柱相关scheuermannsdisease休门氏病
图片尺寸1080x652
脊柱休门氏病scheuermannsdisease
图片尺寸350x294
休门氏病(青少年驼背最常见病因)的影像表现与临床
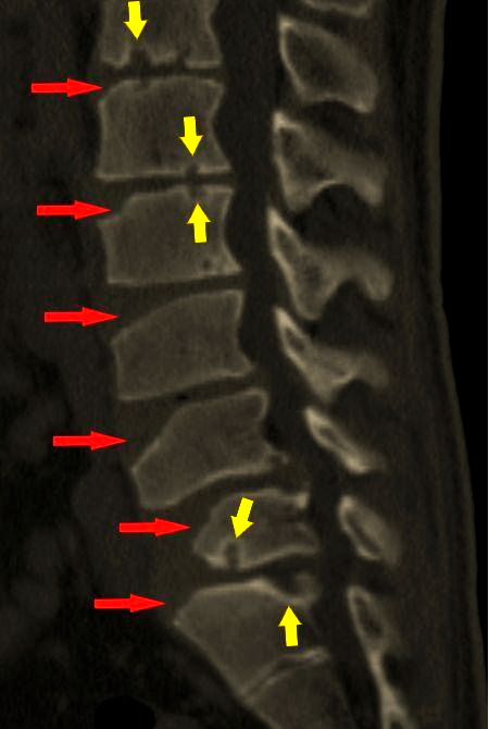
图片尺寸426x934
症状性胸腰段椎间盘突出为休门氏病的特殊表现
图片尺寸428x525
脊柱后凸畸形-休门氏症
图片尺寸215x392
脊柱相关scheuermannsdisease休门氏病
图片尺寸630x589
症状性胸腰段椎间盘突出为休门氏病的特殊表现
图片尺寸566x736
青少年驼背的常见病因-青少年驼背培训_胸椎
图片尺寸905x1850
肺部感染ct怎么看看完这篇立刻入门
图片尺寸663x491
中间图符合腰型休门氏病标准.右图符合典型休门氏病标准.
图片尺寸1000x568
图17-5 2016年3月16日胸部ct:双肺少许磨玻璃阴影及斑片状索条
图片尺寸3215x2625
肺部炎症的"七大"常见ct表现
图片尺寸662x429
胸腰段椎体休门氏病所致脊柱后凸畸形一例
图片尺寸750x750
治疗休门病后凸畸形的外科技术
图片尺寸2716x1640
我的门诊病历严重骨质疏松症休门氏病脊柱侧弯后凸畸形
图片尺寸677x476