低龄儿童龋

2,残障儿童龋,不能配合治疗者.
图片尺寸736x414
小儿龋病
图片尺寸300x220
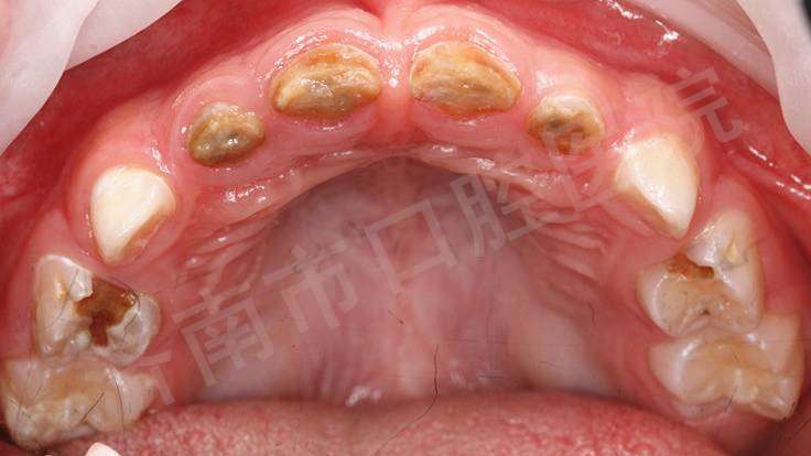
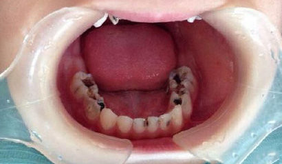
这种同时累及前牙区多个乳牙的蛀牙,专业名称是早期(低龄)儿童龋(ecc)
图片尺寸631x374
幼儿龋齿的危害及防护
图片尺寸651x395
喂养龋是低龄儿童龋的一种特殊类型,主要由于不良的喂养习惯所致,包括
图片尺寸1280x853
dga技术适用于重度低龄儿童龋齿(secc)且无法配合常规牙科治疗的患儿
图片尺寸366x761
儿童龋齿的形成和预防是怎样的
图片尺寸300x228
儿童龋齿的8大危害性
图片尺寸750x593
低龄儿童冠修复技术——王小竞教授
图片尺寸503x254
详解婴幼儿奶瓶龋,怎么治疗?
图片尺寸965x960
你好我给大家介绍一下儿童龋齿是这样治疗的
图片尺寸452x284
口腔知识——儿童龋齿篇
图片尺寸410x239
低龄儿童奶瓶龋是什么怎么治疗首选预成冠修复
图片尺寸600x476
儿童龋齿的充填治疗
图片尺寸500x300
磨牙龋的金属预成冠修复床 重度低龄儿童龋乳前牙残冠树脂冠修复
图片尺寸596x807
牙科百问 | 低龄儿童乳前牙透明冠修复后的注意事项
图片尺寸418x502
第十五节:儿童口腔疾病与全身疾病的关系 乳前牙龋的透
图片尺寸640x427
儿童龋齿的充填治疗
图片尺寸560x336
如何预防龋齿 据郑州儿童牙科调研数据显示:龋齿的出现越来越低龄化
图片尺寸640x427
儿童龋齿治疗前后对比结束语本篇文章中我们带您了解了儿童龋齿的
图片尺寸1080x670