侧切牙畸形矫正

反牙合 偏牙合 侧切牙畸形过小正畸后铸瓷冠修复-南昌矫正牙医潘超的
图片尺寸640x426
反牙合 偏牙合 侧切牙畸形过小正畸后铸瓷冠修复-南昌矫正牙医潘超的
图片尺寸640x472
一例腭侧错位侧切牙的正畸治疗
图片尺寸500x378
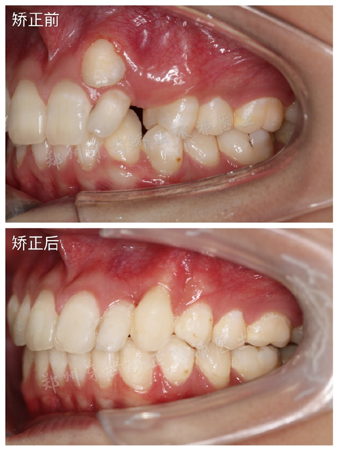
腭向错位的上侧切牙矫正过程组图原创
图片尺寸448x335
先天缺失两个侧切牙矫正思路
图片尺寸828x482
【前牙对刃 侧切牙反颌矫正案例】
图片尺寸828x818
牙齿不齐拥挤侧切牙反颌矫治案例
图片尺寸1085x1481
除此之外,她还有一颗侧切牙为畸形牙(过小牙),后期我还将对它进行根唇
图片尺寸690x920
一例腭侧错位侧切牙的正畸治疗
图片尺寸500x357
深圳牙齿矫正│上颌先天缺失侧切牙下颌拥挤案例
图片尺寸1301x1080
【前牙对刃,侧切牙反颌矫正案例】 - 好大夫在线
图片尺寸2362x2362
反牙合 偏牙合 侧切牙畸形过小正畸后铸瓷冠修复-南昌矫正牙医潘超的
图片尺寸640x405
一例腭侧错位侧切牙的正畸治疗
图片尺寸500x385
先天缺失两个侧切牙矫正思路
图片尺寸828x528
上颌侧切牙矫治拥挤
图片尺寸1024x390
反牙合 偏牙合 侧切牙畸形过小正畸后铸瓷冠修复-南昌矫正牙医潘超的
图片尺寸640x558
反牙合 偏牙合 侧切牙畸形过小正畸后铸瓷冠修复-南昌矫正牙医潘超的
图片尺寸640x425
86期缺一颗侧切牙中线不齐前突拔牙矫
图片尺寸1080x608
小朋友必须等到换完牙了才能矫正吗?|畸形|正畸|换牙|乳牙_网易订阅
图片尺寸650x375
总结:侧切牙过小牙是一种常见的发育畸形.
图片尺寸1080x708