侧脑室肿瘤

内镜铺助显微镜下成功切除侧脑室脑膜瘤一例.
图片尺寸1600x1200
神经内镜经endoport侧脑室三角区脑膜瘤切除
图片尺寸1242x932
图一:头部ct扫描显示:侧脑室内巨大肿瘤,梗阻性脑积水河南的男性患者
图片尺寸558x671
侧脑室巨大室管膜瘤15年诊治历程和心得 - 好大夫在线
图片尺寸558x361
与脑室壁分解不清图一:头部ct扫描显示:侧脑室内巨大肿瘤,梗阻性脑
图片尺寸558x562
内镜铺助显微镜下成功切除侧脑室脑膜瘤一例.
图片尺寸1600x1200
侧脑室肿瘤病理特点及临床表现各异,首诊症状以阵发性头痛为主
图片尺寸500x333
侧脑室脑膜瘤手术完整切除
图片尺寸4128x2322
内镜铺助显微镜下成功切除侧脑室脑膜瘤一例.
图片尺寸1600x1200
与脑室壁分解不清图一:头部ct扫描显示:侧脑室内巨大肿瘤,梗阻性脑
图片尺寸558x668
精确导航下侧脑室肿瘤显微切除术
图片尺寸1600x1200
右侧额角侧脑室占位
图片尺寸1080x1151
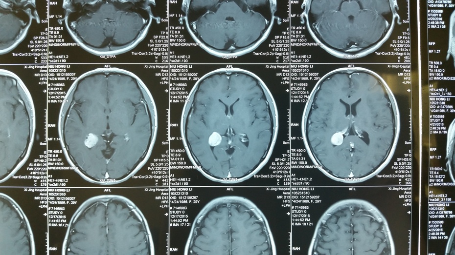
贺晓生教授侧脑室三角区脑膜瘤手术切除
图片尺寸930x523
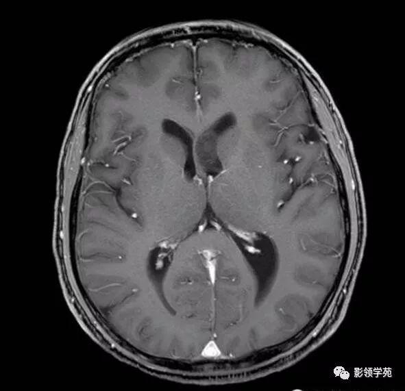
侧脑室内见类圆形稍长t1中等t2信号肿块室管膜下瘤
图片尺寸591x571
【影像讨论】侧脑室三角区肿瘤,请定性!
图片尺寸800x600
病例10:左侧脑室内-室管膜下巨细胞瘤
图片尺寸1156x634
一例巨大侧脑室脑膜瘤微创手术回顾 - 好大夫在线
图片尺寸4608x3456
侧脑室肿瘤影像诊断及鉴别诊断
图片尺寸1080x746
【讨论】侧脑室内占位病变,大家看看是什么?
图片尺寸1024x1024
侧脑室脑膜瘤手术完整切除_肿瘤
图片尺寸4128x2322