修复牙釉质

郑州站2021年6月2830日马小寒老师规范化树脂操作升华班树脂美学修复
图片尺寸687x942
树脂修复前门牙缝图片
图片尺寸653x436
minish牙科|minish种植牙|minish种植牙价格|minish全瓷牙修复|minish
图片尺寸1200x900
牙齿矫正去掉后牙釉质磨掉了,牙齿表面的牙釉质掉了能修复吗?_之美网
图片尺寸600x412
emax玻璃陶瓷高嵌体修复根治后牙体缺损一例张利生
图片尺寸620x322
一例前牙树脂美学修复
图片尺寸5184x3456
避免牙面处理剂飞溅至左右邻牙,使用特氟龙胶带保护,选择性酸蚀牙釉质
图片尺寸435x283
牙釉质修复牙膏日本再生硅护龈固齿牙膏去黄去渍防蛀修复牙釉质出血
图片尺寸800x800
化学真有用!欧美五大修复牙釉质牙膏测评
图片尺寸1080x1439
前牙分体全瓷冠修复
图片尺寸633x387
金属烤瓷全口修复案例 - 案例精华 - 牙匠之家
图片尺寸1024x768
大牙全瓷牙冠修复
图片尺寸400x400
regenerate修复牙釉质美白固齿牙膏 75ml ¥89
图片尺寸511x353
牙齿美学修复案例 - 好大夫在线
图片尺寸1043x528
前牙微创美学全瓷贴面修复
图片尺寸1532x763
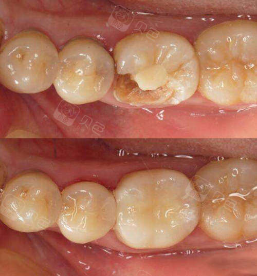
后牙龋坏完美修复一例
图片尺寸1920x1080
前牙树脂修复
图片尺寸1080x1440
全瓷嵌体和聚合瓷嵌体区别有哪些后牙修复用嵌体还是牙冠
图片尺寸500x538
后牙残冠修复之髓室底修补
图片尺寸640x383
一例后牙瓷嵌体修复
图片尺寸640x426