偏头痛ct图片

童话1024 偏头痛? 我也考虑是,但ct够发低密度是什么呢?
图片尺寸4160x3120
诊断为偏头痛有问题吗高手请进
图片尺寸2048x1536
脑血管痉挛偏头痛血管性头痛神经性头痛我到底该怎么办
图片尺寸1440x1920
一例脑出血偏瘫患者的治疗过程中
图片尺寸2133x1200
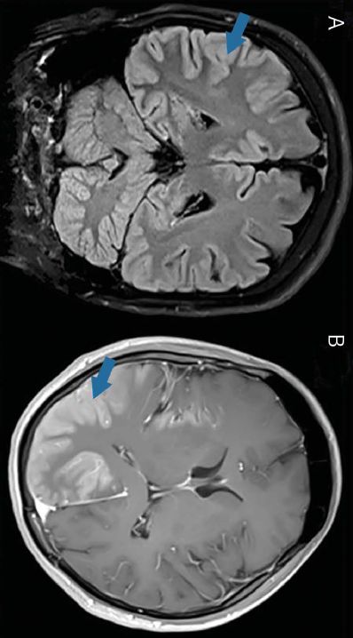
neurology:偏瘫型偏头痛的影像学表现
图片尺寸398x718
做影像检查能找到偏头痛病因吗-潘海鹏副主任医师-爱问医生
图片尺寸1916x1278
门诊头痛患者伴ct异常的诊断分析
图片尺寸2852x3521
右边头痛好几天了,吃止痛药没有用,做了脑ct医生说没事.
图片尺寸3774x3155
下面是发病当时的颅脑ct
图片尺寸2791x1441
请教各位战友头颅ct示右侧颞顶枕均有大片低密度影但患者无明显定位
图片尺寸1440x2560
5月末有头皮疼的症状口服过氨基比林咖啡因片后头痛转为眩晕口服天麻
图片尺寸500x667
偏头痛
图片尺寸1080x1439
脑血管痉挛偏头痛血管性头痛神经性头痛我到底该怎么办
图片尺寸720x960
头重 头痛 嗜睡 视物模糊 有点头晕,持续4个多月了,到医院检查了脑ct
图片尺寸544x960
这个头痛,除了高血压,你还想到了其它没有?
图片尺寸1200x1600
父亲最近头疼,去医院做头颅ct.医生说是 脑退化.
图片尺寸1024x768
男,31岁,常感觉头痛,ct图像如图,最可能的诊断为()
图片尺寸284x471
ct
图片尺寸593x802
患者突发头痛伴恶心呕吐入院,头ct提示蛛血.
图片尺寸2000x2667
经常性头疼 做了脑ct帮我 医生说没事 可还是疼,帮我看看
图片尺寸600x450