健康的牙周

如何检查自己牙周是否健康?_牙周病_牙周病检查 - 好大夫在线
图片尺寸1729x811
牙周组织能够战胜微生物吗,牙周健康的原理2_牙周炎_介绍_发病原因
图片尺寸1150x759
牙周健康是日月积累还是一蹴而就_口腔_牙龈_咬合
图片尺寸590x562
治疗后健康的牙周组织
图片尺寸366x250
牙周组织健康参考图
图片尺寸1067x456
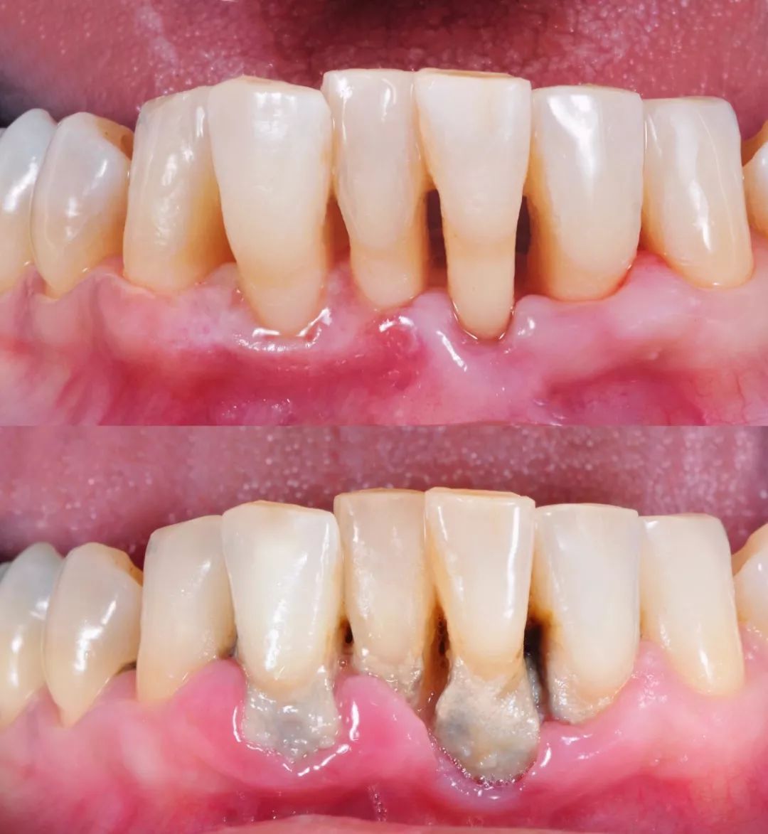
牙周健康 | 牙周科田力达医生案例分享!
图片尺寸1080x645
牙齿健康,离不开中药刷牙
图片尺寸836x552
牙周组织能够战胜微生物吗,牙周健康的原理2_牙周炎_介绍_发病原因
图片尺寸1106x729
预防牙周病为何为预防牙结石
图片尺寸340x266
健康牙齿和牙周炎对比图
图片尺寸500x279
高伟丽详解牙周病是怎么一步步侵害牙周牙齿健康的
图片尺寸1080x514
王刃医生告诉大家:牙周有炎症,吃消炎药能解决吗?_手机搜狐网
图片尺寸933x341
口腔科普只有重视牙周健康才能防止老掉牙
图片尺寸1080x1173
认识牙周_刘政文_主治医师_爱问健康
图片尺寸6000x4000
健康牙周的照片
图片尺寸1080x565
牙周病危害口腔健康
图片尺寸1728x1152
牙周炎导致牙龈萎缩怎么恢复牙周炎刮治后牙龈萎缩2022已更新今日资讯
图片尺寸474x355
健康从"齿"开启——浅谈牙周病
图片尺寸741x831
牙周健康 | 牙周科田力达医生案例分享!
图片尺寸1080x638
牙龈不健康的几大表现,你中招了吗?
图片尺寸1242x450