健康的磨牙图片

磨牙
图片尺寸700x964
夜磨牙
图片尺寸922x1280
晚上磨牙是什么原因怎么解决(晚上睡觉磨牙,跟哪些因素有关?
图片尺寸553x332
保持磨牙牙牙齿照片
图片尺寸400x300
【图】磨牙牙合关系的重要性
图片尺寸340x460
磨牙症1.jpeg
图片尺寸800x610
前磨牙图片
图片尺寸450x300
睡觉磨牙,真的是因为肚子里有虫吗?
图片尺寸623x273
磨牙【多图】_39医疗图集-39健康网
图片尺寸500x332
磨牙种植病例
图片尺寸617x467
小孩磨牙是什么原因
图片尺寸550x350
第三前磨牙中间长出了很小的牙
图片尺寸523x733
我的美篇
图片尺寸1170x935![睡觉磨牙是什么原因怎么解决?[多图] - 大众健康网](https://i.ecywang.com/upload/1/img0.baidu.com/it/u=586883530,2758381871&fm=253&fmt=auto&app=138&f=JPEG?w=602&h=426)
睡觉磨牙是什么原因怎么解决?[多图] - 大众健康网
图片尺寸602x426
健康的牙齿在磨小以后,可能会因为牙冠的不贴合或者时间久了以后,牙龈
图片尺寸500x309
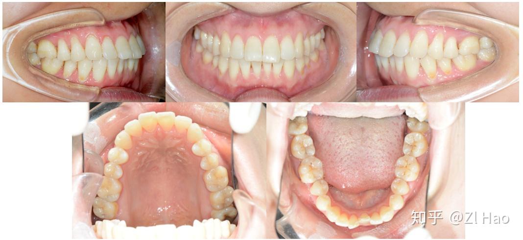
磨牙怎么解决
图片尺寸1068x490
磨牙是种病,能让友谊的小船说翻就翻!
图片尺寸720x333
小心牙齿磨耗,关爱老人健康
图片尺寸388x240
牙齿磨损图
图片尺寸750x500
成人磨牙或是因缺乏维d_39健康网_口腔疾病
图片尺寸600x278