儿童口

孩子晚上张嘴睡觉有必要给孩子用儿童口呼吸矫正贴纸吗
图片尺寸375x500
儿童口呼吸有什么危害
图片尺寸1231x407
北京儿童医院开设口呼吸联合门诊
图片尺寸2500x1667
儿童口腔不良习惯的早期矫治颜值与智力杀手口呼吸
图片尺寸800x533
96宝宝专属立体口罩,安心呼吸!官旗 国标38880儿童口 - 抖音
图片尺寸1080x1618
儿童口周出现淡淡的黑圈,干燥红斑,皲裂和脱屑,可能是舌舔皮炎
图片尺寸814x635
关于儿童口肌的五大问题来了解下吧
图片尺寸1024x684
儿童口耳罩二合一卡通冬季防寒保暖口罩时尚骑行加厚小孩护耳口罩
图片尺寸749x749
百亿贴】婴儿口罩0-6个月婴幼儿童小宝宝1-3岁防护立体型口罩儿童口 s
图片尺寸800x800
我的新宠来啦!兔头妈妈儿童口 - 抖音
图片尺寸1020x1360![口罩级别五层防护一次性3d立体鱼嘴透气性 店长[50只独立装]n95儿童口](https://i.ecywang.com/upload/0/t15.baidu.com/it/u=1124822688,4132393903&fm=224&app=112&f=JPEG?w=500&h=500)
口罩级别五层防护一次性3d立体鱼嘴透气性 店长[50只独立装]n95儿童口
图片尺寸800x800
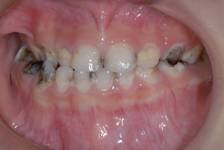
全麻下儿童牙病治疗的安全原则——钱虹主任医师
图片尺寸942x632
儿童合理的看牙时机
图片尺寸500x482
防霾口罩可爱【4-12岁】儿童3d立体医用口罩一次性医疗女孩儿童口 5款
图片尺寸800x800
想给孩子做正畸上海妈咪知道口腔科儿童早期牙齿矫正7999起
图片尺寸560x320
婴儿纱布口罩儿童口耳罩夏季薄款纯棉可洗婴童宝宝透气幼童小朋友
图片尺寸800x800
儿童口呼吸有哪些方面
图片尺寸962x1280
儿童口周出现淡淡的黑圈,干燥红斑,皲裂和脱屑,可能是舌舔皮炎
图片尺寸946x644
对120名残疾儿童进行了口腔健康筛查,并为100名儿童提供了口腔检查,窝
图片尺寸1080x507
一文读懂健康口腔核心信息_儿童
图片尺寸600x600