儿童多生齿图片

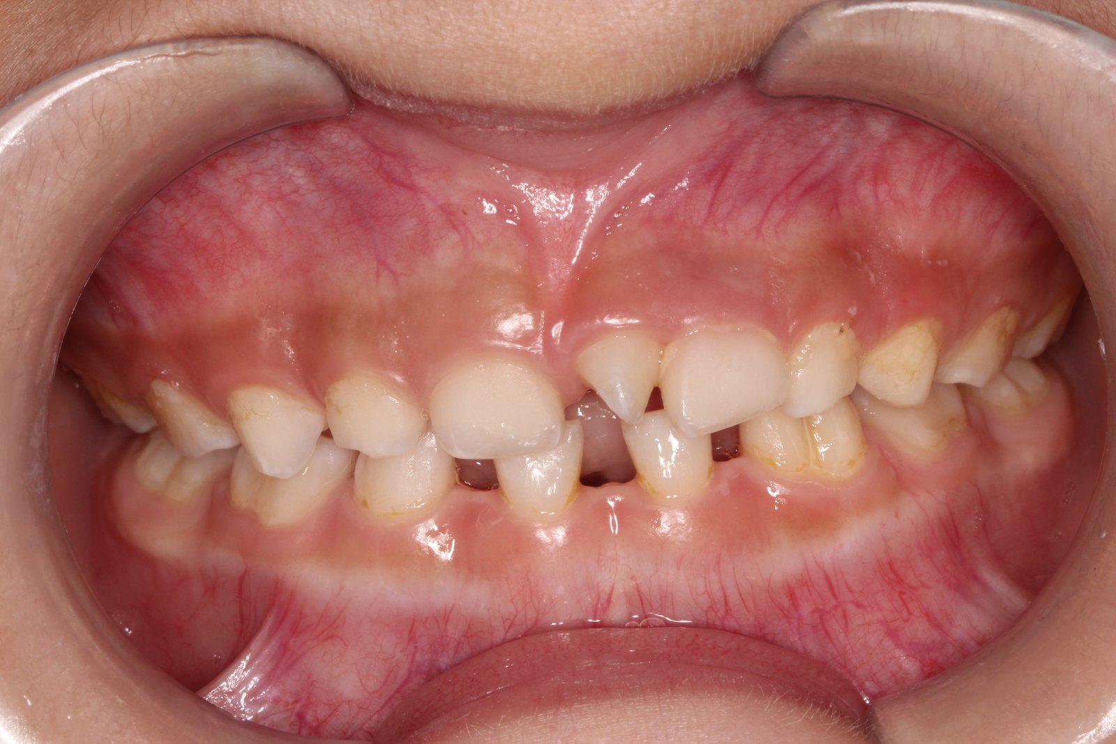
"双排牙",顾名思义,就是指口腔中同一位置出现了两颗牙齿
图片尺寸897x1170
多生牙的小知识
图片尺寸1600x1067
小朋友的多生牙🦷
图片尺寸1920x1440
六岁小朋友的多生牙
图片尺寸1440x1920
6岁娃长出双排牙,医生提醒:有这些习惯赶紧改
图片尺寸1006x1380
多生牙的小知识
图片尺寸1600x1067
作为儿童口腔健康的"守门人",今天说清治疗要点和居家护理关键
图片尺寸2048x1536
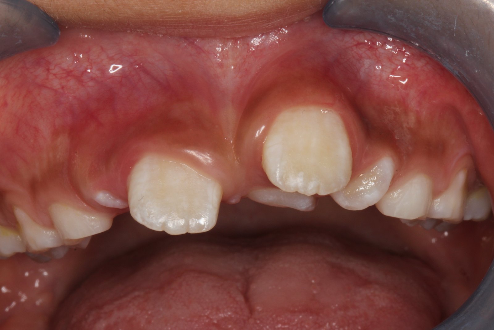
王炳贤介绍,双排牙顾名思义就是长了两排牙齿
图片尺寸960x640
当妈妈不是一件简单容易的事情,总有操不完的心,怀疑长了多生牙
图片尺寸1769x996
是一种罕见的牙齿发育异常,表现为口腔内恒牙数量
图片尺寸684x508
记录2986:多生牙,小患者去年就发现了两个多生牙,因年幼不能配合,拔了
图片尺寸690x3078
这个多生牙看片子没啥难度,张嘴一看这几个门牙,瞬间感觉难度提升好几
图片尺寸690x663
儿医小课堂 112 | 口腔里的不速之客
图片尺寸1080x700
六龄齿:你知道它的重要性吗?🦷
图片尺寸871x1148
这个多生牙看片子没啥难度,张嘴一看这几个门牙,瞬间感觉难度提升好几
图片尺寸690x607
3-4岁孩子多生牙问题,家长需警惕!
图片尺寸800x1423
网友:想问下大家,有没有六龄齿(第一磨牙)提前长的情况,我家不到五岁
图片尺寸690x1105
6岁大牙缝 倒置多生牙拯救记,整牙第一天
图片尺寸1920x2560
正常情况乳牙20个,恒牙32个,超出这些数目的牙齿即为多生牙
图片尺寸245x179
儿童"多生牙"是怎么形成的
图片尺寸398x218