儿童大叶性肺炎

柳河县医院儿科近两年诊治125例大叶性肺炎总结
图片尺寸1440x1080
病例分享儿童大叶性肺炎为什么气管镜冲洗
图片尺寸1080x768
关于大叶性肺炎您了解多少?
图片尺寸521x627
小儿推拿杨晓儿童大叶性肺炎来势凶猛家长如何识别预防护理
图片尺寸650x385
小儿推拿杨晓:儿童大叶性肺炎来势凶猛,家长如何识别,预防护理
图片尺寸656x912
小儿推拿杨晓大叶性肺炎来势汹汹家长们需要提高警惕
图片尺寸650x488
大叶性肺炎的分期治疗特选课件
图片尺寸920x690
病例讨论 咳嗽6天,呼吸急促2天 支原体感染大叶性肺炎 儿科专业讨论版
图片尺寸1936x1296
小儿推拿杨晓:儿童大叶性肺炎来势凶猛,家长如何识别,预防护理
图片尺寸527x292
针对小儿大叶性肺炎大同市第一人民医院这样治
图片尺寸660x495
小儿肺炎,就是痰把肺糊住了,一个名方,挖掉病根!
图片尺寸2275x1280
(医学ppt课件)儿童大叶性肺炎
图片尺寸920x690
针对小儿大叶性肺炎大同市第一人民医院这样治
图片尺寸660x495
小儿推拿杨晓:儿童大叶性肺炎来势凶猛,家长如何识别,预防护理
图片尺寸640x383
查房日记|大叶性肺炎的孩子很多!咋整?_患儿_治疗_支气管
图片尺寸1080x608
用临床效果来啪啪打脸!(详细讲解肺炎胸片和最新病案~)
图片尺寸1080x760
大叶性肺炎是由多种病原体感染引起的,多见于5岁及以上儿童,但5岁以下
图片尺寸960x561
大叶性肺炎具有传染性吗?为何儿童是高发人群
图片尺寸529x353
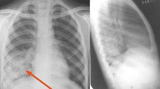
右肺下叶背段大叶性肺炎正侧位消散期:实变区密度逐渐减低,表现为大小
图片尺寸1080x648
少儿肺炎应积极防治
图片尺寸500x375