儿童第五跖骨粗隆突出

患儿,左足外伤,请帮忙确定第5跖骨是否骨折?
图片尺寸956x1280
第五跖骨基底部骨折的治疗讲课适用
图片尺寸920x690
第五跖骨骨折日记
图片尺寸1440x1559
又叫jones骨折,这种骨折应该与第五跖骨的粗隆凸起鉴别,尤其在9-15岁
图片尺寸261x348
6岁 女 左足第五跖骨远端骨折
图片尺寸720x1280
第五趾跖骨骨折多久可以走路? - 知乎
图片尺寸1920x2560
第五跖骨基底骨折恢复
图片尺寸1920x2560
第五跖骨基底部骨折2020
图片尺寸720x1280
我家宝宝六岁两个脚的外侧有个包包也不痛没感觉不知道怎么回事
图片尺寸768x1024
正常儿童骨骼解剖 -右第五跖骨基底部骨骺误为骨折
图片尺寸1080x810
第五跖骨骨折日记
图片尺寸760x569
先天性左足第五趾多趾畸形的矫治
图片尺寸1022x1762
第五跖骨基底部骨折-历程记录
图片尺寸1080x1440
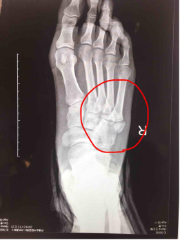
图1x线示第五跖骨近端骨骺增大,碎裂,骨与软骨交界处增宽(红色圈所指)
图片尺寸971x858
第五跖骨基底骨折40天复查 骨折40天了,还有一点缝,脱拐走路一星期
图片尺寸960x1280
第五跖骨基底部骨折_骨折_治疗方式_日常注意事项 - 好大夫在线
图片尺寸887x580
骨折了第五跖骨基底
图片尺寸1080x1440
第五跖骨基底部骨折2020
图片尺寸1072x1905
三岁宝宝脚骨头上起包,按压不疼,请问是什么东西?
图片尺寸600x450
北京素兰医疗诊所第五跖骨骨折案例分享
图片尺寸370x432