儿童脾肿大

临床常表现为脾肿大,肝肿大,骨痛,贫血,血小板减少,神经系统症状等,也
图片尺寸709x865
【病例讨论】出生4小时,呼吸困难,消化道出血,肝脾肿大,特殊面容
图片尺寸640x480
(刚做完切脾手术的小谕 广西无界慈爱基金会拍摄)因为地中海贫血,小
图片尺寸365x485
这种病已进入高发期,严重可致儿童死亡!
图片尺寸492x348
小儿慢性充血性脾肿大症,分为肝内型和肝外型,好发于女性儿童
图片尺寸640x541
新生儿水肿
图片尺寸286x198
她才4岁,就要切掉整个脾脏?_治疗_畸形_儿童
图片尺寸693x503
腹泻肝脾肿大
图片尺寸300x260
主要临床症状为慢性不规则发热,消瘦,肝脾肿大,血细胞三系减少及血浆
图片尺寸1005x669
肝硬化脾肿大,中医治疗有疗效-度小视
图片尺寸1080x1920
临床上有哪些常见的脾肿大原因?
图片尺寸593x511
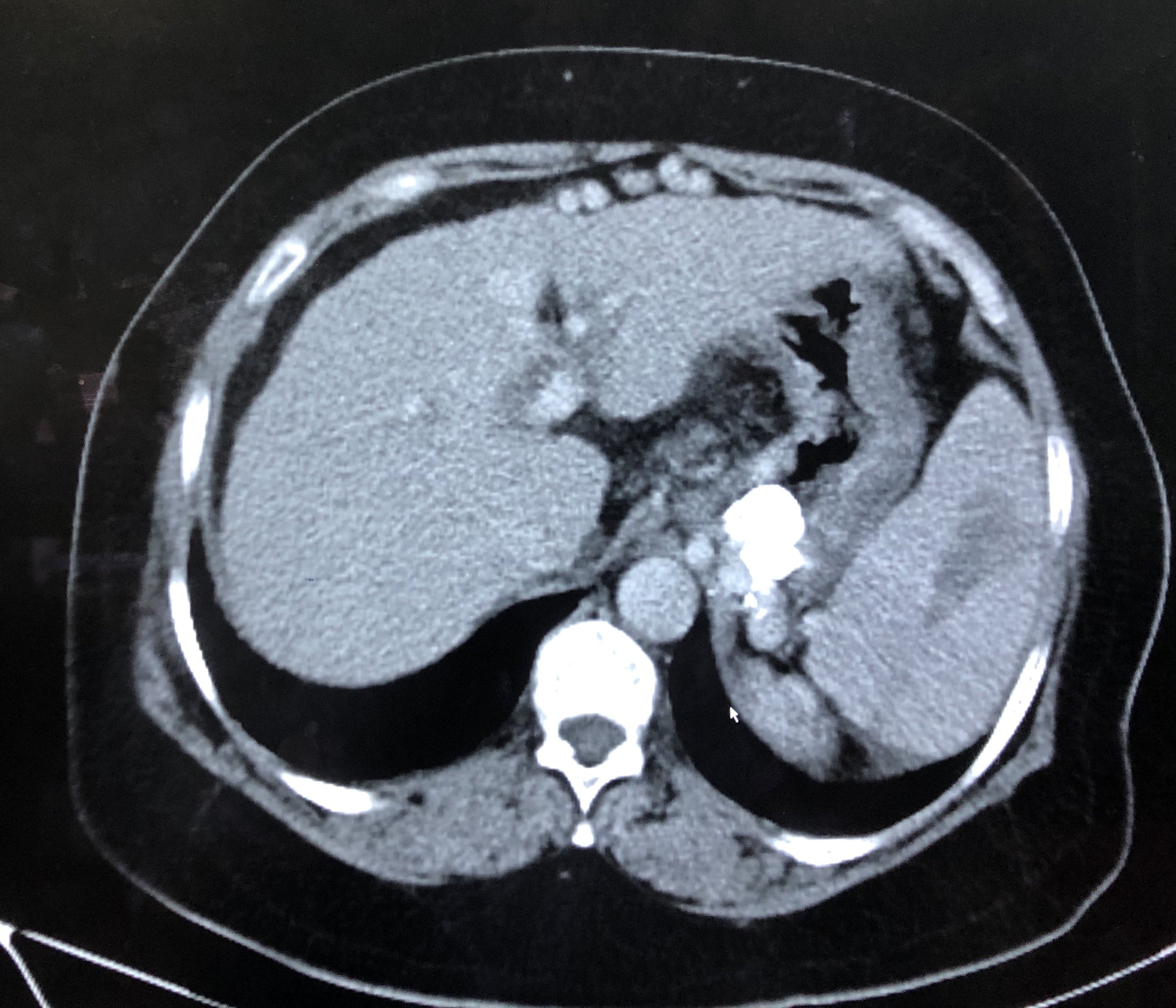
其中一例患者显示肝脾肿大.
图片尺寸640x459
实际上脾肿大如果呈进行性的加重,往往提示疾病在持续的进展,发展到肝
图片尺寸1659x1280
肝脾肿大,淋巴结肿大 临床上约有五成的白血病患者会出现肝脾肿大的
图片尺寸610x343
勿拿脾栓当儿戏!--------记脾栓后严重并发症一例(一)
图片尺寸1199x1599
问止中医 | 陈卫文医师 | 治脾肿大,三周恢复正常_患者
图片尺寸1080x1439
脾脏肿大是什么原因引起的:脾脏肿大
图片尺寸600x400
图1-1-2 脾脏肿大
图片尺寸827x992
脾栓塞加脾消融治疗门脉高压消化道出血案例分享 - 好大夫在线
图片尺寸2586x2217
脾肿大
图片尺寸350x300