儿童邻面龋

儿童口腔 #邻面龋是什么?发现邻面龋该怎么办 - 抖音
图片尺寸664x817
四岁小男孩主诉左上后牙疼痛,检查发现左上乳四邻面深_圈子-新氧美容
图片尺寸1284x1712
邻面龋牙周炎矫正期可以使用吗?
图片尺寸575x338
台南市龋齿专家_台南市治疗龋齿哪个专家好_台南市治疗龋齿最好的专家
图片尺寸690x400
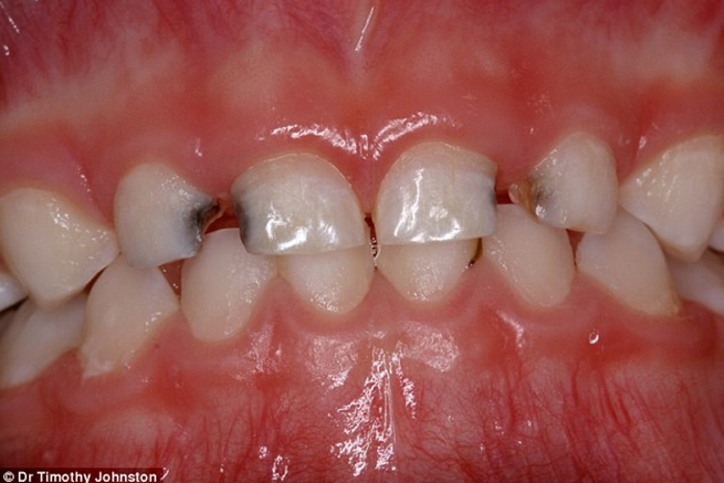
有些牙齿总是会蛀得与众不同像这种邻面龋是最不容易被察觉的而且一坏
图片尺寸1177x600
病例dga技术一次性治疗重度低龄儿童龋齿secc
图片尺寸401x685
台南市龋齿专家_台南市治疗龋齿哪个专家好_台南市治疗龋齿最好的专家
图片尺寸710x400
乳磨牙的经典坏法---双邻面龋需要每天使.
图片尺寸690x382
3岁儿童龋齿怎么办 要及时看牙医治疗
图片尺寸450x337
牙齿的好发龋损位置:一般合面(咬东西的面)>邻面(牙间牙面)>唇颊侧的
图片尺寸6000x4000
邻面龋是什么
图片尺寸640x314
严重龋齿的图片_有来医生
图片尺寸663x500
邻面龋真的要好好注意
图片尺寸987x1050
儿童龋齿如何预防?
图片尺寸1024x799
警惕邻面龋吃东西会塞牙牙还会从两边烂
图片尺寸246x239
触目惊心的儿童龋齿照片罪魁祸首是含糖饮料
图片尺寸655x437
前牙邻面龋损修复1例
图片尺寸2909x1903
孩子该如何预防"奶瓶龋"
图片尺寸640x480
而且邻面已经龋坏,在放置邻面成型片的情况下去除龋坏,保留悬空的邻面
图片尺寸640x475
深圳罗湖门牙邻面龋补牙多少钱
图片尺寸462x193