先天性足副舟骨图片

先天性副舟骨是什么?如何治疗?accessory "extra" navicular bone?
图片尺寸1280x960
足副舟骨疼?你们脚踝内侧有这个骨头(第一张图片)凸起吗?我记 - 抖音
图片尺寸1440x1920
儿童足部副舟骨的治疗_先天性足畸形_先天性足畸形治疗方式 - 好大夫
图片尺寸1080x1022
足副舟骨问题家长们要警惕!
图片尺寸1152x864
双足足副舟骨严重突出,本身也是平底足,每次篮球运动后就会疼,现在16
图片尺寸480x640
当心副舟骨疼痛
图片尺寸526x533
我来告诉大家副舟骨手术的问题
图片尺寸1440x1080
副舟骨记录贴
图片尺寸864x728
11岁男孩副舟骨疼痛,足垫穿戴2个月对比 男孩初检时的片子很明显的副
图片尺寸2150x1280
副舟骨综合症 - 好大夫在线
图片尺寸640x480
警惕副舟骨问题!
图片尺寸382x196
儿童副舟骨_先天性足畸形_介绍_症状表现_治疗方式 - 好大夫在线
图片尺寸357x227
儿童足部副舟骨的治疗_先天性足畸形_先天性足畸形治疗方式 - 好大夫
图片尺寸768x727
儿童副舟骨_先天性足畸形_介绍_症状表现_治疗方式 - 好大夫在线
图片尺寸347x184
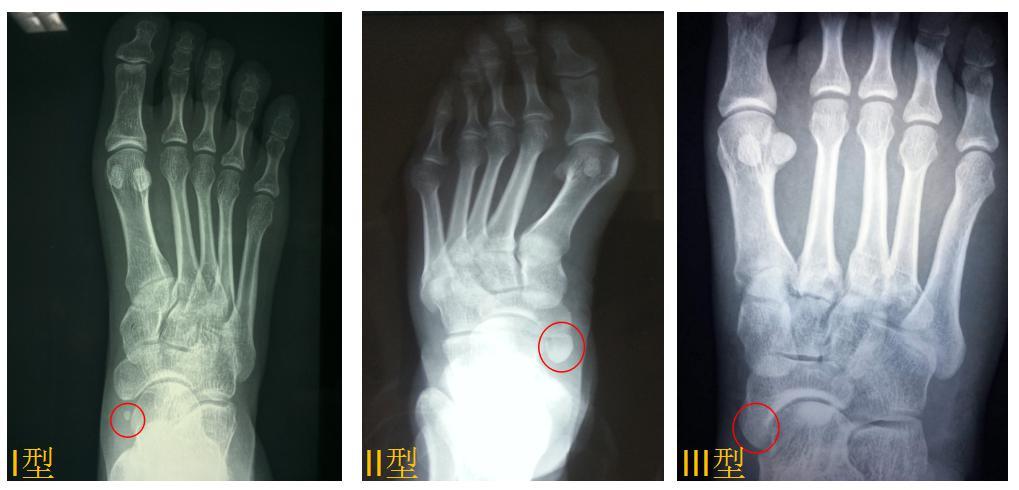
副舟骨形态各异,大小不一,位于舟骨的内后侧,既可以和胫骨形成骨性
图片尺寸1019x490
问题页
图片尺寸500x375
足副舟骨疼痛综合症 (原创)
图片尺寸1792x2208
足副舟骨突出 但是不疼 小时候胖总崴脚挺严重 现在也没感觉 就是突出
图片尺寸960x1280
足副舟骨ppt
图片尺寸1080x810
卫生社团足痛隆起畸形当心副舟骨疼痛综合征在作怪
图片尺寸526x609