先天性马蹄肾

#打卡12.1先天性肾病#_高血压_学习_多囊_新生儿_医疗健康_医疗健康其
图片尺寸1080x810
先天马蹄肾 双肾结石病人一例 - 好大夫在线
图片尺寸3648x2736
先天性马蹄肾-医联
图片尺寸680x510
可致小便浑浊,下利等症的邪气是-学路网-学习路上 有我相伴
图片尺寸500x511
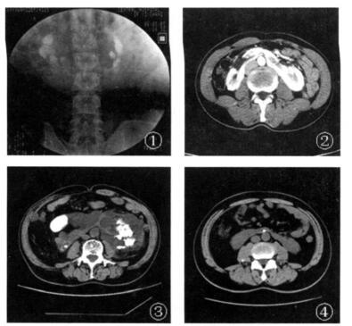
肾脏先天性发育异常之马蹄肾影像学表现
图片尺寸1599x999
马蹄肾horseshoe kidney - 好大夫在线
图片尺寸773x597
诊间日记:马蹄肾-李青主任医师-爱问医生
图片尺寸400x461
【医学科普】马蹄肾_澎湃号·政务_澎湃新闻-the paper
图片尺寸644x316
先天马蹄肾 双肾结石病人一例 - 好大夫在线
图片尺寸3648x2736
先天性马蹄内翻足?尽早治疗是大概什么时候最好?每个年龄段都是一样的
图片尺寸589x792
入职体检发现先天马蹄肾,我还能再买到保险吗?(附真实成功投保案例) -
图片尺寸485x212
先天性马蹄肾影像诊断
图片尺寸395x365
【解析】"马蹄肾"的超声表现_动脉
图片尺寸600x400
男子长罕见"马蹄肾"双肾底部相连成u型状(图)|马蹄肾|肾结石_新浪新闻
图片尺寸550x311
男子罕见马蹄肾 结石有如"玉如意" 医生:第一次见
图片尺寸640x358
蹄铁形肾 - 疾病百科 - 智慧妈咪网
图片尺寸1005x669
腰子是哪个部位_有来医生
图片尺寸750x500
室间隔缺损复查
图片尺寸1080x1439
马蹄肾详情页,马蹄肾哪家医院看得好|治疗马蹄肾哪个医生好|马蹄肾推
图片尺寸284x297
谁能告诉我这是什么,怎么去除_百度知道
图片尺寸600x448