兔牙矫正图

案例|龅牙 兔牙矫正 二次矫正
图片尺寸720x588
兔牙tuya隐形托槽矫正第126天美丽日记
图片尺寸570x570
正畸案例Ⅰ又一位兔牙小姐姐摘下牙套9295案例重
图片尺寸1284x1712
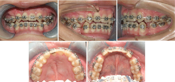
陶瓷矫正改善大兔牙短短三个月效果明显
图片尺寸1284x1712
陶瓷矫正改善大兔牙短短三个月效果明显
图片尺寸1284x1712
案例|龅牙 兔牙矫正 二次矫正
图片尺寸899x505
兔牙怎么矫正
图片尺寸720x960
上兔牙矫正一年变化案例图
图片尺寸600x353
以下是我完成的一个病例,矫治(矫正)周期从2011.01.17-2015.05.
图片尺寸610x285
兔牙小姐姐整牙变化
图片尺寸2056x4028
我的漫漫矫正之路了!
图片尺寸1080x1080
兔牙tuya隐形托槽矫正第88天美丽日记
图片尺寸570x760
兔牙矫正需要多少钱(兔子牙矫正多少钱一个)
图片尺寸881x720
我大兔牙做了金属托槽矫正来分享我4个月来牙齿变化图
图片尺寸547x335
兔牙该怎么矫正? - 知乎
图片尺寸520x676
龅牙矫正一段时间后对比
图片尺寸400x375
兔牙tuya隐形托槽矫正第126天美丽日记
图片尺寸570x570
矫正中的兔牙vs没矫正前的兔牙
图片尺寸570x1013
陶瓷矫正解决兔牙小姐姐的大困扰
图片尺寸1284x1712
记录下,矫正牙齿半年啦
图片尺寸1025x1364