全瓷冠备牙

全瓷桩全瓷冠完美
图片尺寸4710x2390
全瓷桩全瓷冠完美
图片尺寸4280x2887
【推荐】全瓷牙体预备标准化操作
图片尺寸1033x688
上前牙氧化锆全瓷冠修复
图片尺寸640x336
全瓷牙修复 #精密附件 #立春 春日临,暖意馨.山水绿, - 抖音
图片尺寸1080x1679
前牙残冠全瓷冠修复一例 - 好大夫在线
图片尺寸4632x2325
一次性安装28颗全瓷牙
图片尺寸1080x1439
全瓷牙备牙方法图例与烤瓷牙备牙
图片尺寸380x250
鹏诚万锦医疗保健道邦备牙车针嵌体瓷贴面前后牙烤瓷全瓷冠邻面去釉
图片尺寸800x800
前牙全瓷修复案例
图片尺寸1710x974
全瓷牙试戴
图片尺寸1601x1200
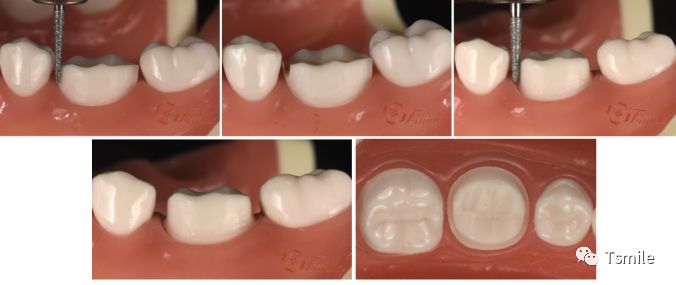
一步一步做好后牙全瓷冠牙体预备
图片尺寸676x285
单冠全瓷牙修复
图片尺寸800x501
全瓷牙备牙方法 ---把它背下来吧
图片尺寸398x303
备牙
图片尺寸2199x1133
烤瓷牙黑线怎么解决看看我用全瓷牙修复后照片吧
图片尺寸500x388
前牙金属烤瓷全冠的牙体预备
图片尺寸1280x833
外伤冠折氧化锆修复两例--浅谈牙体标准预备
图片尺寸620x379
烤瓷牙备牙,需要磨去牙体组织1/2到 1/3
图片尺寸625x399
全瓷牙or烤瓷牙?牙冠该如何选择
图片尺寸7360x4912