六龄牙烂了图片

术前注意事项 保持口腔清洁,效果会更好住探针(包括可疑龋)其他牙,尤
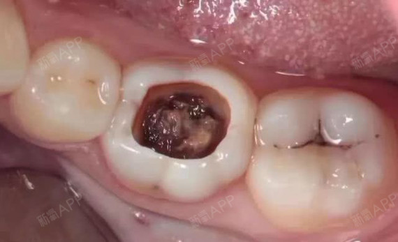
图片尺寸600x486
六龄牙都坏这样了还能怎么做
图片尺寸640x886
未及时治疗,4岁男童一口牙几乎烂光
图片尺寸1000x667
6岁小孩一嘴烂牙?为什么?
图片尺寸640x528
要认认真真刷牙定期到医院牙科检查牙可怜的娃十五岁就烂了那么多牙了
图片尺寸1920x890
六龄牙都坏这样了还能怎么做
图片尺寸640x960
有一个10岁儿童下颌磨牙有龋齿,孩子父母竟然是首先关心是不是六龄齿
图片尺寸420x280
正畸治疗时常会遇到六龄牙(第一磨牙)缺失或病损严重而无法保留的情况
图片尺寸640x884
约6岁时,牙弓最里面长出第一颗恒牙,不替换任何乳牙,称为"六龄牙".
图片尺寸2598x3464
我们叫六龄牙是四胞胎兄弟
图片尺寸570x347
我儿子快七周岁了,门牙最近渐渐往外面长,晚上去拍了个牙片,说是等
图片尺寸600x800
来源:kq88博客 施孝昌病例 小男孩,12岁,因右下六龄牙食物嵌塞就诊
图片尺寸640x360
儿子今年6岁,大牙烂了怎么办,门牙也磨平了吃东西就疼,医生说补牙
图片尺寸1024x768
小孩6岁了,这牙齿怎么办?
图片尺寸768x1024
六龄牙都坏这样了还能怎么做
图片尺寸640x1456
却已经满口的坏牙了,老乡很迷惑,自己家的宝贝不吃糖,怎么会有烂牙呢?
图片尺寸620x576
小孩快6岁了,有颗牙齿缺了,现在只剩下根部了,换牙时期前天掉了一颗.
图片尺寸612x816
孩子大牙烂得厉害,之前就烂了一点,现在越来越厉害,怎么办?
图片尺寸580x773
6岁男孩一张嘴一口烂牙让医生直摇头父母无知太坑娃
图片尺寸500x394
儿童六龄齿拔了对身体有影响,来看拔掉六龄牙的危害_口腔久灵
图片尺寸500x293