共振破坏

地球也有共振频率吗?震碎地球究竟有多难!
图片尺寸600x509
用100个扩音器产生的声音共振来破坏玻璃杯一下子就震碎了
图片尺寸1280x720
重要性,并且通过更加仔细的研究克服困难,尽可能避免共振破坏力的产生
图片尺寸600x287
共振破坏力有多大?
图片尺寸640x404
共振能瞬间摧毁一座大桥该原理的破坏力从哪来的
图片尺寸792x494
土木吧丨共振到底有多可怕?
图片尺寸600x441
共振破坏力到底从何而来为什么能轻易摧毁一座大桥
图片尺寸640x427
共振能瞬间摧毁一座大桥,该原理的破坏力从哪来的?
图片尺寸541x304
盆腔腹股沟腹膜后淋巴结转移ctmr磁共振
图片尺寸552x438
共振破坏力有多大?
图片尺寸1200x787
共振破坏力到底从何而来,为什么能轻易摧毁一座大桥?
图片尺寸480x270
被共振破坏的大桥
图片尺寸550x366
共振破坏力揭秘:特斯拉声称能将地球分裂为两半?_物体_频率_振动
图片尺寸1080x703
共振破坏力有多大?
图片尺寸1014x676
共振破坏力揭秘:特斯拉声称能将地球分裂为两半?_物体_频率_振动
图片尺寸1080x540
共振破坏力有多大?
图片尺寸1200x781
共振破坏力揭秘:特斯拉声称能将地球分裂为两半?_物体_频率_振动
图片尺寸1080x767
国产核磁共振仪冲破40年垄断西方媒体慌了你们在破坏规则
图片尺寸1200x901
共振破坏力揭秘:特斯拉声称能将地球分裂为两半?_物体_频率_振动
图片尺寸1080x592
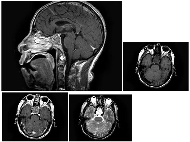
男67岁头痛5个月ct及mri检查见斜坡骨质破坏最可能的诊断为
图片尺寸656x493