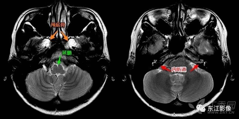
内听动脉闭塞

存在永存三叉动脉的颈内动脉闭塞,超时间窗一次抽吸再通.
图片尺寸2000x2667
全脑血管造影显示:右侧大脑中动脉闭塞
图片尺寸1080x1440
不同凡响|基底动脉闭塞再通治疗—取栓遇见复杂路径
图片尺寸2000x2666
右侧颈内动脉全程闭塞(正位)
图片尺寸3120x4160
右侧颈动脉起始部重度狭窄,cta提示近闭塞狭窄,近闭塞狭窄指颈动脉
图片尺寸1202x1602
附属医院脑病外科成功完成首例颈内动脉闭塞再通术
图片尺寸660x660
颈内动脉急性闭塞开通一例
图片尺寸1571x2097
颈动脉内膜剥脱术治疗颈动脉狭窄闭塞
图片尺寸2000x2666
左侧颈内动脉闭塞
图片尺寸2000x2667
路图下显示右侧颈内动脉闭塞.
图片尺寸1200x1600
右侧颈内动脉慢性闭塞 右侧大脑中动脉闭塞,机械取栓 颈动脉支架置入
图片尺寸3021x4029
右侧大脑中闭塞,左侧颈内动脉闭塞.
图片尺寸2448x3264
术前cta见右侧颈内动脉闭塞_副本.jpg
图片尺寸400x492
左侧大脑中动脉闭塞支架取栓1例
图片尺寸1306x1610
大脑中动脉闭塞临床表现
图片尺寸748x800
脑动脉闭塞
图片尺寸680x1210
当我们咽口水时,喉管神经要穿过心脏的大动脉血管绕一个大圈才能到达
图片尺寸400x443
椎动脉颅内段是夹层动脉瘤好发区域,椎动脉闭塞也常见(图e,f).
图片尺寸800x400
中动脉,有时也包括大脑后动脉起始部慢性进行性狭窄或闭塞,继发出现侧
图片尺寸602x600
新乡医学院第一附院血管外科 近2月内8例下肢动脉闭塞straub机械吸栓
图片尺寸4434x3462