内听道ct

左耳耳鸣2年余乳突ct2mm层厚平扫
图片尺寸512x512
骨窗显示内听道扩大.
图片尺寸2202x1134
【求助】反复中耳炎,这个ct有什么问题?请大侠们给点意见.
图片尺寸639x360
内听道骨窗.jpg
图片尺寸1243x994
ct诊断耳道疾病有绝招!
图片尺寸650x488
中耳ct:可见鼓室,乳突内软组织密度影.
图片尺寸302x159
ct诊断耳道疾病有绝招!
图片尺寸650x488
ct,注意内听道扩大.
图片尺寸910x894
中耳炎,拍过ct,今天医生说耳道里面肿起,说有可能是胆脂瘤.
图片尺寸620x826
平片只能显示内听道扩大及骨质破坏,不能直接显示肿瘤的大小及范围.
图片尺寸507x292
ct,显示双侧乳突小房气化良好,双侧鼓室内密度增色彩,听小骨_百度知道
图片尺寸684x1216
科普堂听神经瘤
图片尺寸1167x1276
【共享】常见内耳畸形的ct表现
图片尺寸1000x783
ct诊断耳道疾病有绝招!
图片尺寸650x488
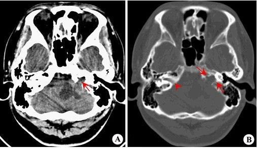
图3. 内听道ct.
图片尺寸640x356
康美开原市中心医院成功完成辽北地区首例耳内镜下摘除耳颞部血管瘤
图片尺寸960x836
误诊如此多!
图片尺寸800x600
下面这张ct展示的就是右侧外耳道内的一个金属异物.
图片尺寸500x402
蜗神经异常,主要基于mri第二部分:内耳畸形分类,主要基于ct第一部分
图片尺寸960x720
内听道喇叭口状扩大---听神经瘤.
图片尺寸640x640