内囊出血ct图片

头颅ct解剖及诊断ppt
图片尺寸1080x810
脑实质内出血的演变,分布,ct表现
图片尺寸441x941
脑实质内出血的演变,分布,ct表现
图片尺寸483x522
脑实质内出血丨演变,分布,ct表现
图片尺寸433x838
胰腺囊肿并内出血
图片尺寸680x907
12月12日脑ct示脑室出血基本吸收,左侧内囊后肢和壳核后部梗塞
图片尺寸2301x1236
脑实质内出血的演变,分布,ct表现
图片尺寸503x522
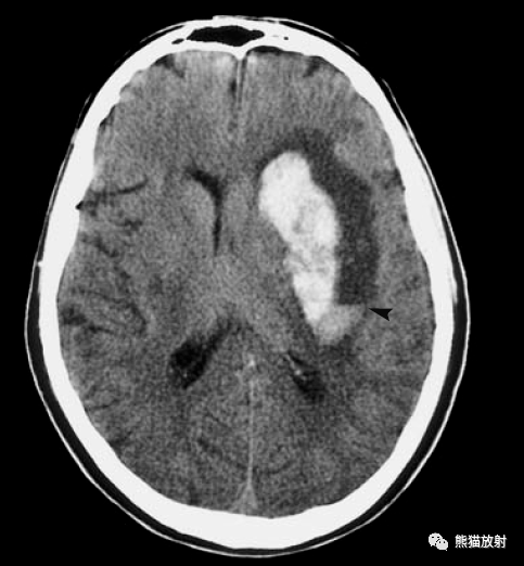
由海绵状血管瘤破裂引起的iph.22岁女性,内囊后肢局部出血性病变.
图片尺寸440x917
非创伤性颅内出血ct图解!#医学科普仅供参考如有不适请线下就 - 抖音
图片尺寸900x1075
(图:a-c:swi可见累及皮质下白质,胼胝体和内囊的广泛点状微出血)
图片尺寸1220x495
最全总结不同脑部位出血表现值得收藏
图片尺寸660x644
2001年ct平扫:右侧内囊后部高密度△2004年右侧内囊后部出血,t2wi
图片尺寸591x591
七旬老人突发脑出血!3d打印技术辅助颅内血肿穿刺引流化险为夷
图片尺寸801x760
61a皮质动脉的穿通支-------脑叶出血61b豆纹动脉
图片尺寸660x734
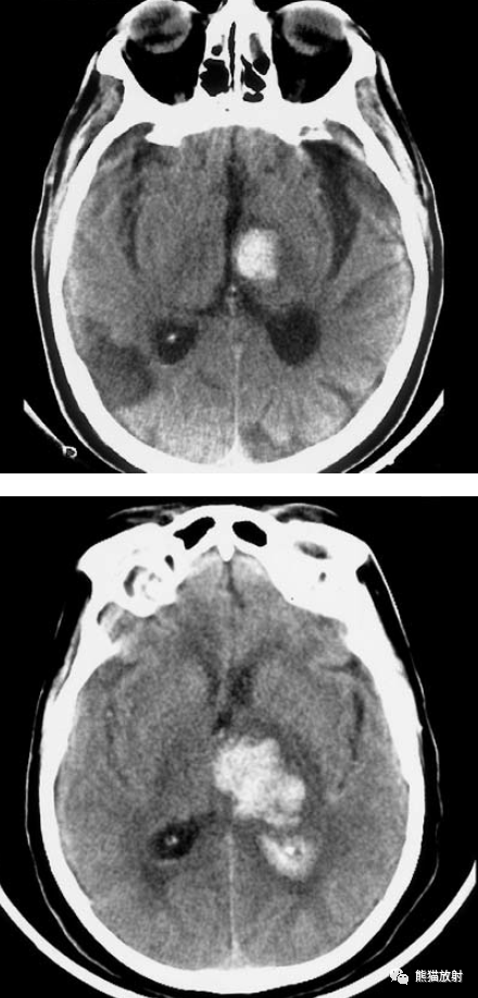
ct平扫:左侧外囊和壳核大量高密度出血病灶,为典型的高血压性脑出血
图片尺寸882x433
脑实质内出血丨演变,分布,ct表现
图片尺寸434x472
头颅ct提示脑室内出血
图片尺寸3264x1840
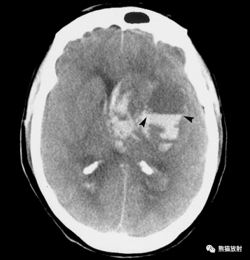
未侵犯内囊* Ⅱ型为出血已侵犯内囊但未破入脑室* Ⅲ型为出血经内囊破
图片尺寸498x189
高血压脑出血护理查房 手术前ct,右侧基底节出血及内囊少量出血
图片尺寸1080x810
脑实质内出血丨演变,分布,ct表现
图片尺寸446x995