内弹性膜切片

内膜:有明显的内弹性膜
图片尺寸946x704
每个学校的切片不同若有歧义以书本为主仅供复习参考不典型的切片不用
图片尺寸1080x1080
外膜:疏松结缔组织;有营养血管,分支进入中膜很厚,40 ~ 70层弹性膜
图片尺寸957x702
病理实验——玻片及诊断依据
图片尺寸1536x2048
2.心外膜有红染的细丝样物质为渗出的纤维素.1.
图片尺寸1536x2048
高血压固缩肾观察要点:切面一侧为较正常的主动脉,一侧主动脉内膜不
图片尺寸1966x1966
病理学切片分享
图片尺寸1536x2048
中动脉立体结构图·外膜:外弹性膜(较厚结缔组织)·中膜:平滑肌·内膜
图片尺寸600x180
61外层又称心内膜下层,为疏松结缔组织,含小血管和神经;在心室有
图片尺寸567x614
医学考试-组培切片.pptx
图片尺寸1152x864
切片学习常规病理组织切片及诊断要点
图片尺寸1080x810
打开硬脑膜,可见黄色蛛网膜下腔.
图片尺寸1182x1526
病理学切片5
图片尺寸1080x810
切片考试准备答案ppt 内膜(内皮和皮下下层疏松结缔组织) 中膜(弹性膜
图片尺寸1080x810
每个学校的切片不同若有歧义以书本为主仅供复习参考不典型的切片不用
图片尺寸1080x895
病理学课件 心血管系统疾
图片尺寸1080x810
组胚切片 #睾丸 #卵巢
图片尺寸1080x1439
小动脉 arteriole
图片尺寸995x747
组胚实验切片动静脉易混淆
图片尺寸1080x1439
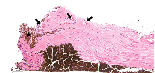
病理切片显示(苏木精-伊红染色20×)该瞳孔区膜是由血管成分(黑色箭头
图片尺寸505x237