冠状动脉断层

冠状动脉ct成像
图片尺寸640x757
冠脉cta经典ppt
图片尺寸1080x810
ct如何看冠状动脉狭窄高清图谱详解要点
图片尺寸567x1348![入门必备:冠状动脉 ct 解剖及变异 [病例帖]](https://i.ecywang.com/upload/1/img1.baidu.com/it/u=753281803,1016007636&fm=253&fmt=auto&app=138&f=JPEG?w=517&h=500)
入门必备:冠状动脉 ct 解剖及变异 [病例帖]
图片尺寸594x574
半百翁自认一尾活龙,健检结果满江红,冠状动脉严重阻塞!
图片尺寸600x404
冠状动脉ct:相关概念,解剖……大盘点!
图片尺寸801x801
ct和mri如何看正常及异常冠状动脉,高清图谱请收好!
图片尺寸1134x509
ct如何看冠状动脉狭窄高清图谱详解要点
图片尺寸880x441
ct如何看冠状动脉狭窄高清图谱详解要点
图片尺寸880x707
冠状动脉起源异常ct图鉴
图片尺寸1080x917
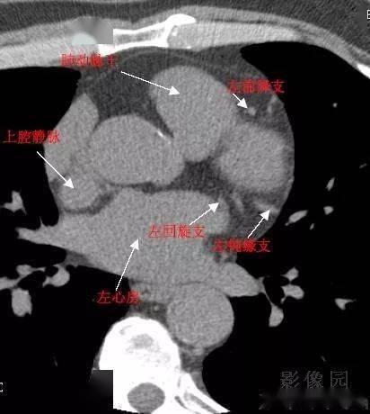
影像解剖 | 心脏冠状动脉ct解剖中文详细标注(图文)
图片尺寸412x460
心脏冠状动脉ct解剖中文详细标注(图文)
图片尺寸418x479
带你全面了解心脏冠状动脉ct解剖
图片尺寸378x460
影像解剖 | 心脏冠状动脉ct解剖中文详细标注(图文)
图片尺寸402x459
心脏冠状动脉ct解剖中文详细标注(图文) cardiac anatomy
图片尺寸417x477
冠状动脉斑块破裂的光学相干断层成像特征分析pdf5页
图片尺寸792x1120
心脏冠状动脉ct解剖中文详细标注(图文) cardiac anatomy
图片尺寸399x523
心脏冠状动脉ct解剖中文详细标注(图文)
图片尺寸405x462
ct和mri如何看正常及异常冠状动脉,高清图谱请收好!
图片尺寸572x724
心脏ct断面解剖
图片尺寸640x480