冠状动脉ct片子图片

冠状动脉狭窄
图片尺寸1100x1100
重磅!永和县人民医院开展首例冠状动脉cta检查
图片尺寸1536x2046
无造影剂ct显示冠状动脉钙化
图片尺寸605x562
许启汉的心脏冠脉ct成像
图片尺寸1255x1255
冠状动脉cta成像
图片尺寸2966x2000
心脏冠脉cta
图片尺寸2000x2000
夏俊立:128层ct冠状动脉成像
图片尺寸640x480
ct如何看冠状动脉狭窄高清图谱详解要点
图片尺寸880x441
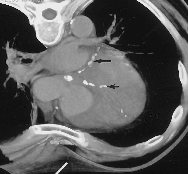
9病例展示 写美篇病例一: 诊断意见: 1,右冠状动脉近段非钙化型斑块伴
图片尺寸2122x1999
冠状动脉ct成像
图片尺寸640x757
ct如何看冠状动脉狭窄高清图谱详解要点
图片尺寸567x1348
王化齐的心脏冠脉ct成像
图片尺寸571x506
冠状动脉cta,了解冠状动脉斑块性质及狭窄程度.
图片尺寸2726x1200
刘伟的心脏冠脉双源cta
图片尺寸2000x2667
ct如何看冠状动脉狭窄高清图谱详解要点
图片尺寸849x1000
你可能喜欢 冠状动脉介入 心脏解剖图 人体解剖学课件 冠状动脉cta
图片尺寸1080x810
女,患者以"心慌气短"之主诉入我院心血管内科,临床诊断:冠状动脉粥样
图片尺寸1200x1598
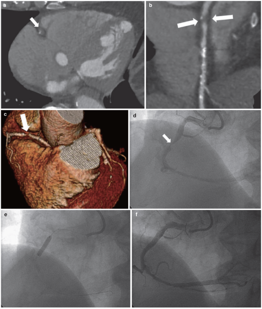
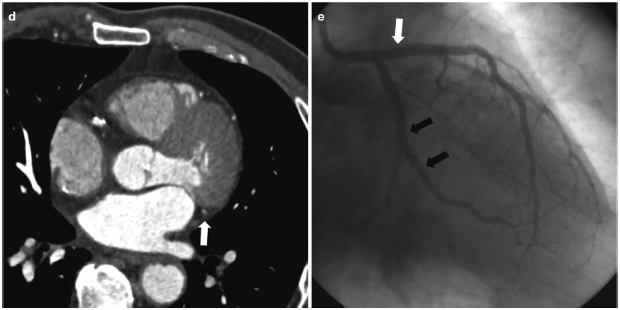
冠状动脉cta常见伪影及对策汇总
图片尺寸640x994![【读片】心脏ct [病例帖]](https://i.ecywang.com/upload/1/img0.baidu.com/it/u=716411984,2802854608&fm=253&fmt=auto&app=138&f=JPEG?w=500&h=500)
【读片】心脏ct [病例帖]
图片尺寸1800x1800
绝大多数朋友得知自己冠状动脉钙化是在筛查胸ct时发现的.
图片尺寸800x744