冠状面 横断面

科学常识:冠状面,矢状面,横断面
图片尺寸320x390
头部的冠状断层解剖ppt课件
图片尺寸1080x810
头部冠状断面(9)
图片尺寸1387x1846
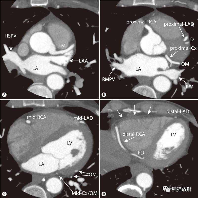
冠状动脉ct:相关概念,解剖……大盘点!
图片尺寸801x801
心脏冠状动脉ct解剖中文详细标注(图文) cardiac a
图片尺寸402x459
人体断面解剖图谱06-胸部冠状断面.ppt
图片尺寸1152x864
头部的冠状断层解剖ppt课件
图片尺寸1080x810
断层图谱:胸部ct冠状位解剖图谱
图片尺寸1000x430
人体断面解剖图谱06-胸部冠状断面.ppt
图片尺寸1152x864
心脏冠状动脉ct解剖中文详细标注(图文)
图片尺寸405x462
关于医学影像中的轴位面横断面冠状面矢状面的解释
图片尺寸2350x1338
04 头部连续冠状断层解剖ppt
图片尺寸1080x810
心脏解剖图冠状动脉ct互动式人体横断面解剖图集
图片尺寸1250x588
人体断面解剖图谱06-胸部冠状断面.ppt
图片尺寸1152x864
冠状面 2. 矢状面 3. 横断面
图片尺寸1080x810
冠状位详细颅脑断层解剖(三方位标注)
图片尺寸960x720
图心脏冠状断面
图片尺寸756x471
冠状断面图片
图片尺寸738x1517
关于医学影像中的轴位面横断面冠状面矢状面的解释
图片尺寸1622x623
磁共振可进行横断面,冠状面,矢状面以及任意面的直接采集成像,可以多
图片尺寸642x642