冠脉CTA图解

心脏冠脉ctappt参考课件
图片尺寸800x450
冠状动脉系统解剖,cta解剖,分段及中英文名称对照
图片尺寸960x720
冠状动脉cta报告规范ppt
图片尺寸920x690
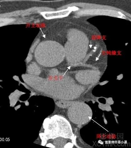
【高清ct图】心脏冠脉cta解剖
图片尺寸400x474
用这套图谱学冠脉cta没理由学不会
图片尺寸664x3447
正常冠状动脉cta图像
图片尺寸1080x810
冠状动脉cta图像判读ppt
图片尺寸800x600
冠状动脉cta解剖课件
图片尺寸800x600
cta冠脉解剖必点收藏
图片尺寸718x814
ct在评估冠脉斑块性质方面有独特优势,可以"精准"识别"易损斑块",为"
图片尺寸793x447
如何分析冠状动脉cta
图片尺寸1080x810
冠状动脉cta的临床应用
图片尺寸1080x608
湘雅冠脉cta标准化后处理及规范化报告
图片尺寸960x720
冠状动脉ctappt课件
图片尺寸920x518
冠状动脉系统解剖cta解剖超详细收藏起来随时看
图片尺寸960x720
冠状动脉cta诊断资料ppt
图片尺寸1080x810
左右冠脉起源于冠状窦口上方
图片尺寸1080x810
冠脉解剖与cta(最简单最容易记忆图片最丰富)
图片尺寸920x690
冠状动脉cta诊断
图片尺寸1078x807
【高清ct图】心脏冠脉cta解剖
图片尺寸419x473