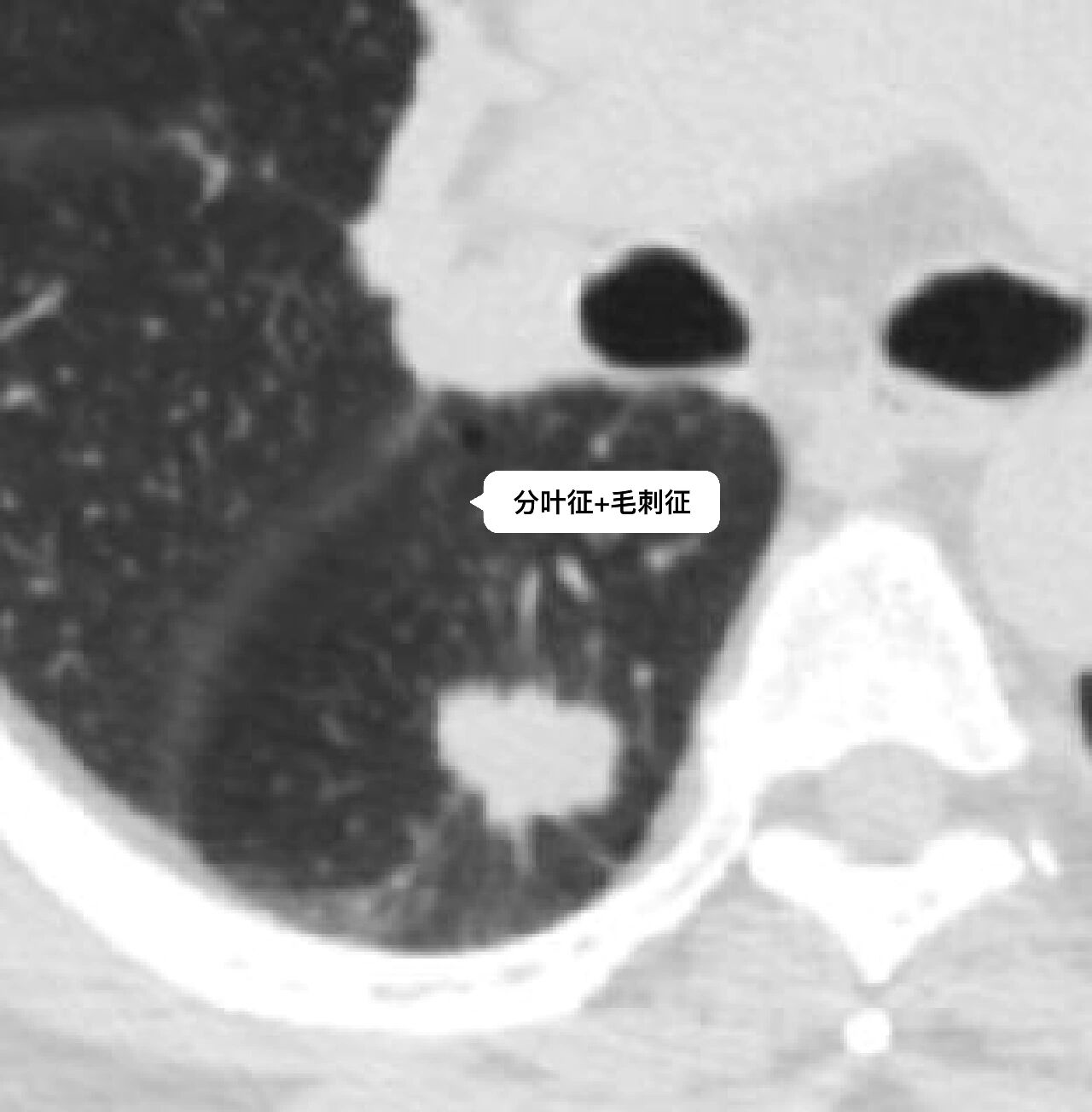
分叶征 毛刺征

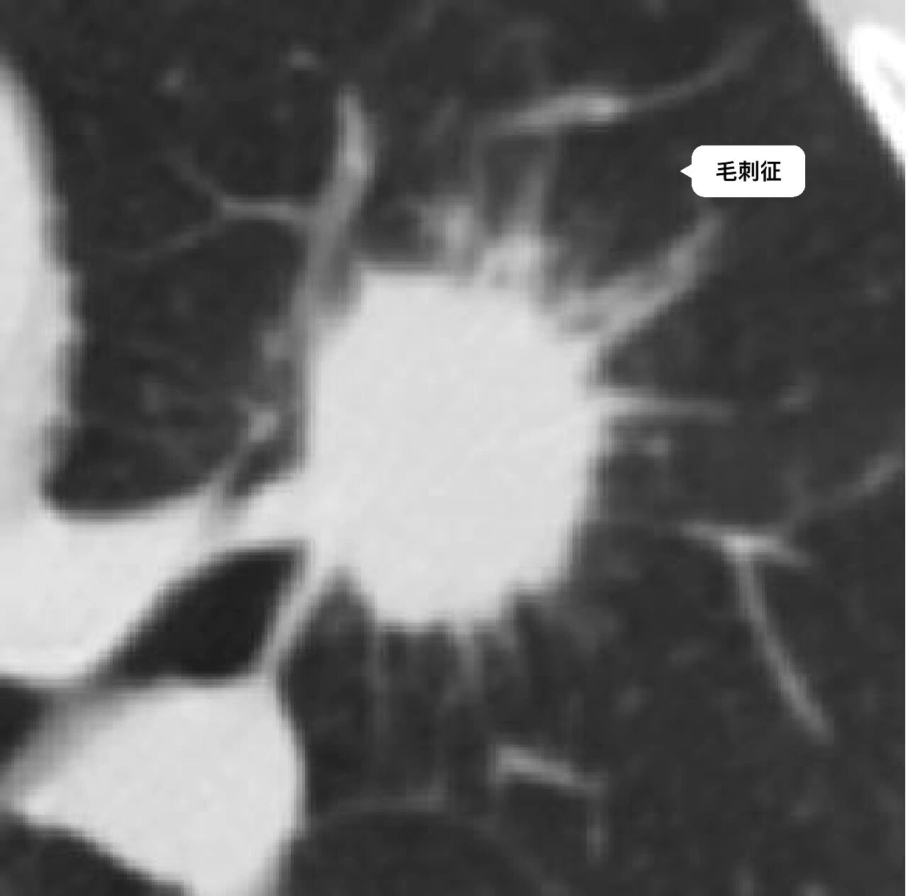
周围型肺癌征象之分叶征,毛刺征,棘状突起
图片尺寸640x432
分叶征; b.棘突征,毛刺征; c.空泡征; d 胸膜陷征; e.
图片尺寸2055x1280
有分叶征,有毛刺等恶性征象就一定是肺癌吗?
图片尺寸550x690
周围型肺癌征象之分叶征,毛刺征,棘状突起
图片尺寸340x370
周围型肺癌征象之分叶征,毛刺征,棘状突起
图片尺寸640x368
第一个,题主提到的分叶征
图片尺寸640x397
周围型肺腺癌典型影像学征象(一) 肺腺癌典型征象分叶征,毛刺征,支
图片尺寸1280x1304
6.21):毛刺分叶强化的肺占位为什么不是肺癌?
图片尺寸640x640
周围型肺腺癌典型影像学征象(一) 肺腺癌典型征象分叶征,毛刺征,支
图片尺寸1280x1263
有分叶征,有毛刺等恶性征象就一定是肺癌吗?
图片尺寸550x632
黄色箭头示病灶似见细毛刺征,蓝色箭头示分叶征明显图11 此层面见病灶
图片尺寸1204x926
棘状突起:肿瘤细胞局部浸润,是介于分叶和毛刺之间粗钝的杵状结构2.
图片尺寸868x448
【肺部影像病理系列】板刷状毛刺与乱毛发样毛刺,直指哪种肺癌?
图片尺寸1080x1218
毛刺形成机制:肿瘤组织中含有向内收缩的纤维组织,致使肿瘤边缘出现较
图片尺寸1080x810
毛刺征,但实性阴影中不是很致密,前侧血管略有影响病灶似有浅分叶征左
图片尺寸1080x1093
2018.1.31加黄勇老师总结,并附有几个病例.
图片尺寸1200x1600
实性肺结节的恶性征象,跟混合磨玻璃结节有很多重叠: 1,分叶毛刺 2
图片尺寸1244x1280
6.21):毛刺分叶强化的肺占位为什么不是肺癌?
图片尺寸640x640
矢状位见病灶处叶裂牵拉,有长毛刺连到胸壁侧,整体轮廓较清.
图片尺寸1080x1106
2018.1.31加黄勇老师总结,并附有几个病例.
图片尺寸1200x1600