分叶状乳腺肿瘤

乳房巨大分叶状肿瘤_乳腺肿瘤 - 好大夫在线
图片尺寸600x800
乳腺分叶状肿瘤的大体观
图片尺寸837x1115
乳腺肿物交界性叶状肿瘤讨论病例2019423中美加乳腺病理交流群病例333
图片尺寸3648x2736
乳腺分叶状肿瘤
图片尺寸1279x1706
a型胸腺瘤.胸腺瘤(thymoma):是发生自胸腺上皮细胞的 - 抖音
图片尺寸780x1128
复发性巨大乳腺分叶状肿瘤1例
图片尺寸1517x2043
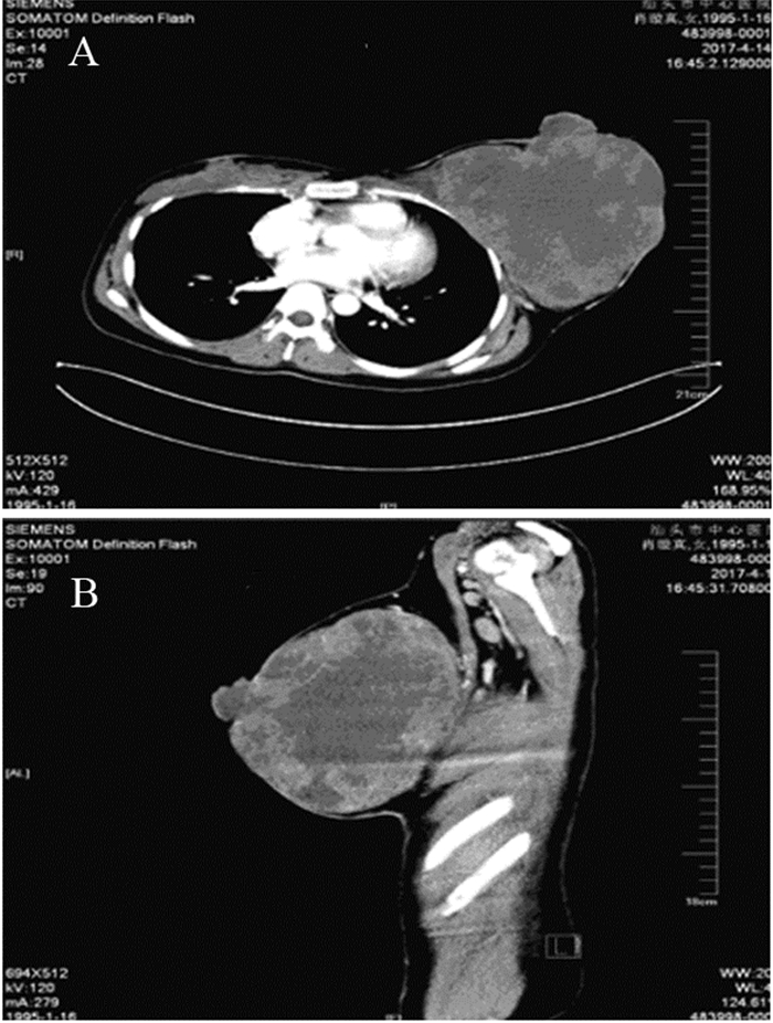
生长迅速的年轻女性乳腺恶性叶状肿瘤1例报道
图片尺寸700x926
乳腺分叶状肿瘤的诊断
图片尺寸1688x1900
什么是分叶状肿瘤?-乳腺癌康复圈-觅健
图片尺寸364x274
乳腺分叶状肿瘤,良性!
图片尺寸1280x1706
17cm乳腺巨大叶状肿瘤 - 好大夫在线
图片尺寸2448x3264
乳腺分叶状肿瘤的诊断
图片尺寸1690x2150
越战越勇的乳腺分叶状肿瘤_腾讯新闻
图片尺寸569x300
【病例讨论】乳腺分叶状肿瘤一例
图片尺寸600x507
【讨论】乳腺分叶状肿瘤术后复发如何治疗?
图片尺寸1122x718
《乳腺分叶状肿瘤课件.ppt》
图片尺寸1152x864
乳腺交界性叶状肿瘤
图片尺寸300x240
乳腺分叶状肿瘤的间质
图片尺寸1080x1439
乳腺分叶状肿物,手术还是随诊观察?
图片尺寸600x800
临床初诊怀疑乳腺纤维腺瘤,术后病理提示乳腺分叶状肿瘤(良性)
图片尺寸626x456