分叶状肺结节

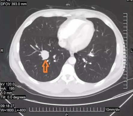
右肺上叶结节,边界清楚,边缘不整,呈浅分叶状,可见细小毛刺,邻近胸膜
图片尺寸643x482
肺部分实性结节
图片尺寸640x480
左下肺背段见分叶状结节影,会是什么?
图片尺寸640x512
ct显示结节边界不清并呈分叶状
图片尺寸305x256![据影识病:双下肺分布的分叶状结节,肿瘤?结核?炎症? [病例帖]](https://i.ecywang.com/upload/1/img1.baidu.com/it/u=336691635,790858509&fm=253&fmt=auto&app=138&f=JPEG?w=667&h=500)
据影识病:双下肺分布的分叶状结节,肿瘤?结核?炎症? [病例帖]
图片尺寸3968x2976
肺部结节边缘凹凸不平的分叶状轮廓,是该征的主要x线表现,对于较大的
图片尺寸1440x1497
体检查出肺结节很小就不用管?定期复查很重要
图片尺寸964x485
医学笔记203肺结节的分类影像举例
图片尺寸1080x1012
分叶征,结节边缘好像花瓣一样,出现这种分叶征的时候高度提示肺癌的
图片尺寸526x473
肺结节读片(4):肺结节没有毛刺,是好事还是坏事?
图片尺寸640x420
多数癌症刚查出来能吃能睡,一治疗就变差了,如果不治疗会咋样?
图片尺寸781x442
肺结节的分型 &darr
图片尺寸650x428
认识14种教科书式的肺结节! - 好大夫在线
图片尺寸1000x388
看到了右肺上叶的结节:实性,分叶,带毛刺
图片尺寸2000x2667
左上肺叶实性结节,不规则,可见毛刺,根据临床经验考虑为肺癌可能性大.
图片尺寸3439x2441
女性,肺结节大于1厘米,该不该手术切除?
图片尺寸640x666
密度均匀,一般良性可能性大,如实性结节有如下特征:呈浅分叶状,周边有
图片尺寸444x386
分叶征 / "分叶征"是指结节边缘不光滑,呈分叶状.
图片尺寸1080x422
比如说成分叶状生长的结节,有毛刺的,边缘不光滑的,厚壁空洞的,有血管
图片尺寸600x650
教授好,我这个肺结节是不是因为"发炎"造成的?_结节病 - 好大夫在线
图片尺寸1574x1600