分叶状肿瘤

乳腺分叶状肿瘤的大体观
图片尺寸837x1115
17cm乳腺巨大叶状肿瘤 - 好大夫在线
图片尺寸2448x3264
多结节分叶状.
图片尺寸2667x2000
什么是分叶状肿瘤
图片尺寸364x274
乳腺分叶状肿瘤的诊断
图片尺寸1688x1900
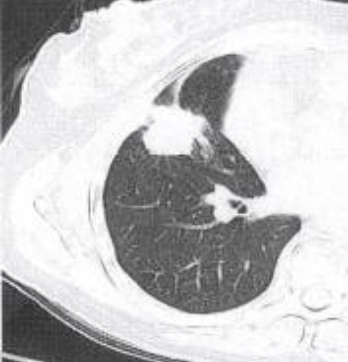
左下肺背段见分叶状结节影,会是什么?
图片尺寸640x512
乳腺分叶状肿瘤ppt
图片尺寸1080x810
草莓状血管瘤(strawberry hemangioma):紫红色分叶状肿瘤,高出皮面
图片尺寸888x666
叶状肿瘤怎么预防复发 叶状肿瘤怎么预防复发转移
图片尺寸1080x707
肿瘤呈分叶状,质软.常有出血,坏死,外观可多种多样
图片尺寸588x443
乳腺分叶状肿瘤和纤维腺瘤有什么区别
图片尺寸323x211
乳腺肿物 考虑叶状肿瘤,倾向交界讨论病例2018.12.
图片尺寸3024x3024
17cm乳腺巨大叶状肿瘤 - 好大夫在线
图片尺寸2448x3264
肾门肿瘤,分叶状
图片尺寸3021x4029
乳腺肿物 考虑叶状肿瘤,倾向交界讨论病例2018.12.
图片尺寸3024x3024
右乳肿瘤交界性叶状肿瘤
图片尺寸680x602
肺部结节边缘凹凸不平的分叶状轮廓,是该征的主要x线表现,对于较大的
图片尺寸1440x1497
典型病例乳腺恶性叶状肿瘤
图片尺寸640x377
乳腺良性叶状肿瘤
图片尺寸300x240
分叶状肿瘤肿瘤影像学与病理
图片尺寸348x259