分水岭梗死

头颅mri:右侧分水岭脑梗死
图片尺寸1080x1197
分水岭梗死与脑血管狭窄
图片尺寸675x495
解读分水岭区脑梗死
图片尺寸960x720
脑分水岭梗死影像天地
图片尺寸960x720
脑分水岭梗死影像天地
图片尺寸960x720
脑分水岭梗死影像天地
图片尺寸960x720
脑分水岭区的部位及脑分水岭梗死的类型: b 图a为脑分水岭梗死的ct
图片尺寸1080x810
查头颅ct示左颞枕叶分水岭脑梗死(图2).
图片尺寸700x700
解读分水岭区脑梗死
图片尺寸960x720
精品分水岭脑梗死分类
图片尺寸1080x730
脑血管病之分水岭脑梗死
图片尺寸1015x659
颅脑核磁见分水岭梗塞.
图片尺寸1398x893
一文揭开分水岭脑梗死的真面目
图片尺寸719x641
左侧分水岭梗死
图片尺寸1198x1598
解读分水岭区脑梗死
图片尺寸960x720
一个病例了解3种分水岭脑梗死的临床特点
图片尺寸662x894
头ct见左侧后分水岭陈旧梗死灶.
图片尺寸950x1451
神经综述分水岭脑梗死的相关研究进展
图片尺寸656x663
脑血管病之分水岭脑梗死
图片尺寸1009x710
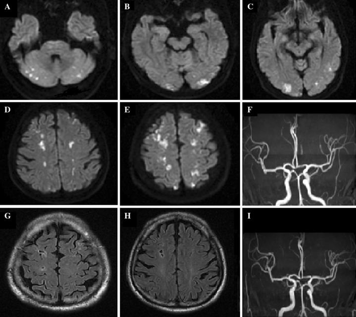
我院头颅核磁提示:大脑半球分水岭脑梗死
图片尺寸3257x1784