前上纵隔结节

前纵膈结节
图片尺寸4624x3472
刘懿博士说肺癌(一五五九)前纵隔结节必须做核磁才知道是.
图片尺寸1079x719
胸腺瘤/前纵隔占位/前纵隔结节/伴有肌无力是癌症吗?
图片尺寸859x519
前纵膈结节
图片尺寸4624x3472
前上纵膈内软组织结节3天会是什么
图片尺寸512x512
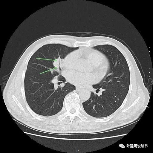
下图,可见此恶性的磨玻璃结节转移到纵隔淋巴结.
图片尺寸1271x748
前纵膈结节
图片尺寸4624x3472
附近胸膜增厚.结节浸润在 rul. 正常的心脏大小.
图片尺寸3628x3000![纵隔肿块 平扫 增强三期 [病例帖]](https://i.ecywang.com/upload/1/img2.baidu.com/it/u=2681419536,3871017777&fm=253&fmt=auto&app=138&f=JPEG?w=375&h=500)
纵隔肿块 平扫 增强三期 [病例帖]
图片尺寸1080x1440
胸部ct不止能看到包括肺结节在内的肺部情况,还可以看到纵隔和胸壁的
图片尺寸640x360
前纵隔结节,血肿?胸腺占位?
图片尺寸592x592
肺部结节_相关检查_缓解方法 - 好大夫在线
图片尺寸1299x756![影像读片:两肺多发结节 [病例帖]](https://i.ecywang.com/upload/1/img0.baidu.com/it/u=2012567378,2102231695&fm=253&fmt=auto&app=138&f=JPEG?w=342&h=500)
影像读片:两肺多发结节 [病例帖]
图片尺寸1480x2165
虽然结节的大小没有那么夸张,但确实令他感到焦虑和担忧.
图片尺寸1134x1280
实性结节若有典型恶性影像,不建议穿刺_医学界-助力医生临床决策和
图片尺寸512x512
单个肺部结节肺部肿块怎么办
图片尺寸1440x1080
刘懿博士说肺癌三七一六肺磨玻璃结节消散了前纵隔结节没变
图片尺寸1600x1533
黄色箭头示病灶附近淋巴结或癌结节可能性大纵隔窗分叶明显,密度不均
图片尺寸1024x1024![【求助】前纵隔肿瘤 [病例帖]](https://i.ecywang.com/upload/1/img0.baidu.com/it/u=2337598984,1231404970&fm=253&fmt=auto&app=138&f=JPEG?w=388&h=500)
【求助】前纵隔肿瘤 [病例帖]
图片尺寸1479x1908
今天会诊①ct发现前纵隔肿物
图片尺寸1920x1080