前列腺彩超

患者术前彩超显示前列腺明显增大
图片尺寸2000x2667
2 小时前 今晚有空,接前篇的内容继续更新,更新前发两张前列腺彩超的
图片尺寸720x960
【讨论】好大的前列腺
图片尺寸720x540
照片4 2017年前列腺彩超
图片尺寸1080x1440
前列腺增大怎么办?没想到我年纪轻轻居然有这个,能好吗?
图片尺寸780x940
前列腺囊肿管囊肿
图片尺寸745x555
我前列腺有两年了,就是上厕所的次数多.其他还没什么.
图片尺寸2592x1944
38岁5年前列腺炎病史怎么治疗呢
图片尺寸1080x1215
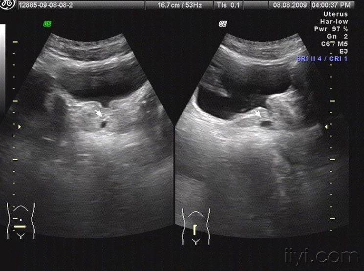
前列腺肥大
图片尺寸720x540
手术工作日志19前列腺增生患者怎样预防急性尿潴留经尿道前列腺电切术
图片尺寸1080x810
彩超显示前列腺4.2cm22正常吗
图片尺寸750x1000
体检b超前列腺增大,就是前列腺增生?医生说根本不需要治疗.
图片尺寸640x1280
前列腺增生
图片尺寸2048x1536
前列腺肥大
图片尺寸720x540
前列腺增生症微创治疗的金标准-----turp_膀胱
图片尺寸1485x1600
彩超提示:前列腺增生
图片尺寸2667x2000
照片16 2020年6月住院前列腺彩超
图片尺寸1080x1440
前列腺囊肿
图片尺寸600x450
女性前列腺囊肿的早期症状
图片尺寸500x338
前列腺增生65岁男性尿频尿急尿不尽20余年诚顺
图片尺寸1080x1920