前列腺B超图

某专科医院的b超结果显示小曾的前列腺符合炎症改变图像.
图片尺寸500x666
超声检查中犬猫前列腺和睾丸的正常大小是多少4张表和图片带你各个击
图片尺寸891x600
这个疾病正在向年轻化发展!_钙化_前列腺_超声
图片尺寸1080x1076
潍坊市中医院精准微创手术为前列腺"减肥"
图片尺寸439x199
慢性前列腺增生词条图册_百度百科
图片尺寸1200x1200
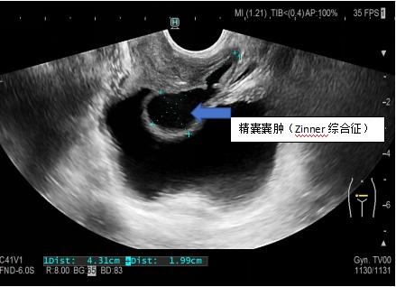
血精是因为前列腺炎吗?"真凶"原来是它
图片尺寸439x318
血精是因为前列腺炎吗?"真凶"原来是它
图片尺寸454x326
血精是因为前列腺炎吗?"真凶"原来是它
图片尺寸439x298
女患者b超报告称"前列腺正常" 院方补偿5000元
图片尺寸500x333
西安市第一医院泌尿外科成功完成陕西省首例不可逆前列腺电穿孔(ire)
图片尺寸306x347
岳阳市中医院成功开展经直肠超声引导下前列腺穿刺活检术
图片尺寸600x400
潘氏健康:怀疑自己得了前列腺炎,要做什么检查,应该怎么治疗?
图片尺寸1024x575
枣庄市薛城区人民医院首次彩超引导下经直肠前列腺穿刺活检术完成
图片尺寸600x420
父亲节,聊一聊恼人的"前列腺增生"
图片尺寸1266x681
男人自测2小时就上一次厕所警惕前列腺增生
图片尺寸500x374
视频深圳医院照b超女人照出前列腺
图片尺寸640x480
轻度症状者要到医院进一步做前列腺b超,前列腺特异抗原(psa)等相关
图片尺寸447x383
视频医院照b超女人照出前列腺
图片尺寸640x480
肝,胆,胰,脾,胃,腹腔各种疾患; 0 3 泌尿系统: 肾,输尿管,膀胱,前列腺
图片尺寸985x785
必看这份前列腺养护指南!
图片尺寸724x663