前庭导水管ct解剖

大前庭导水管综合征的ct影像学诊断
图片尺寸500x554
什么是大前庭导水管综合征
图片尺寸600x227
什么是大前庭导水管综合症
图片尺寸1080x605
但是,ct或者mri才是诊断前庭导水管扩大的金标准.
图片尺寸1142x1080
颅底重要ct解剖及其临床意义前庭导水管与耳蜗
图片尺寸640x480
儿童大前庭导水管综合症的多排螺旋ct诊断ppt
图片尺寸1080x810
在颞骨轴位ct深测量前庭导水管直径,超过1.
图片尺寸522x362
下图:异常颞骨ct表现 大前庭导水管综合症的颞骨ct表现(黄色箭头所指
图片尺寸837x827
大前庭导水管综合征ct表现
图片尺寸959x547
颅底重要ct解剖及其临床意义前庭导水管与耳蜗
图片尺寸640x480
大前庭导水管综合征的ct影像学诊断
图片尺寸500x374
一,正常的前庭导水管ct影像学 正常情况下,在水平半规管或总骨脚出现
图片尺寸640x562
大前庭导水管综合征的ct影像学诊断
图片尺寸500x528
大前庭导水管综合征的ct影像学诊断 - 好大夫在线
图片尺寸374x377
大前庭导水管综合症的听力学诊断与干预
图片尺寸1080x1036
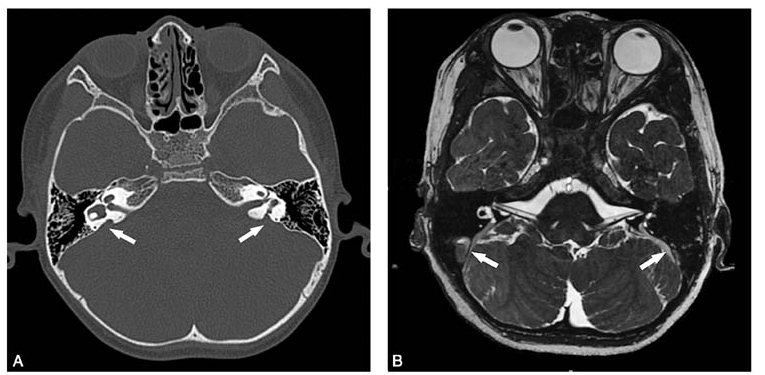
颞骨高分辨率ct示双侧前庭导水管扩大并与前庭池相通(图1a).
图片尺寸765x375
大前庭导水管综合征ppt
图片尺寸1080x810
大前庭导水管综合征的ct影像学诊断
图片尺寸500x421
下图:异常颞骨ct表现 大前庭导水管综合症的颞骨ct表现(黄色箭头所指
图片尺寸837x833
大前庭导水管综合征lvas是如何遗传的
图片尺寸1008x1108