前房积血图片

焦小白的手机夹子
图片尺寸640x471
前房积血
图片尺寸815x1253
自发性前房积血
图片尺寸680x678
妈妈在家里,扔糖果🍬 不小心把娃眼睛打到了:前房出血,眼压升高!
图片尺寸690x981
前房积血
图片尺寸1236x2676
前房积血hyphema
图片尺寸640x400
的视力恢复时间因人而异,主要取决于出血量
图片尺寸514x603
眼科医生教您实用性外伤性前房积血的治疗方法
图片尺寸4160x3120
糖尿病患者的前房积血 患者由糖尿病日久,由于慢性氧气剥夺
图片尺寸700x879
眼科医生教您实用性外伤性前房积血的治疗方法
图片尺寸4160x3120
近期经常碰到因为工作和打球而眼睛受伤,导致前房积血,继发性青光眼的
图片尺寸2560x1742
眼科医生教您实用性外伤性前房积血的治疗方法
图片尺寸4160x3120
前房出血(前房积血)
图片尺寸2048x1464
🐱前房积血:猫猫眼科的紧急情况
图片尺寸989x1262
眼科医生教您实用性外伤性前房积血的治疗方法
图片尺寸4160x3120
猫的前房出血
图片尺寸632x310
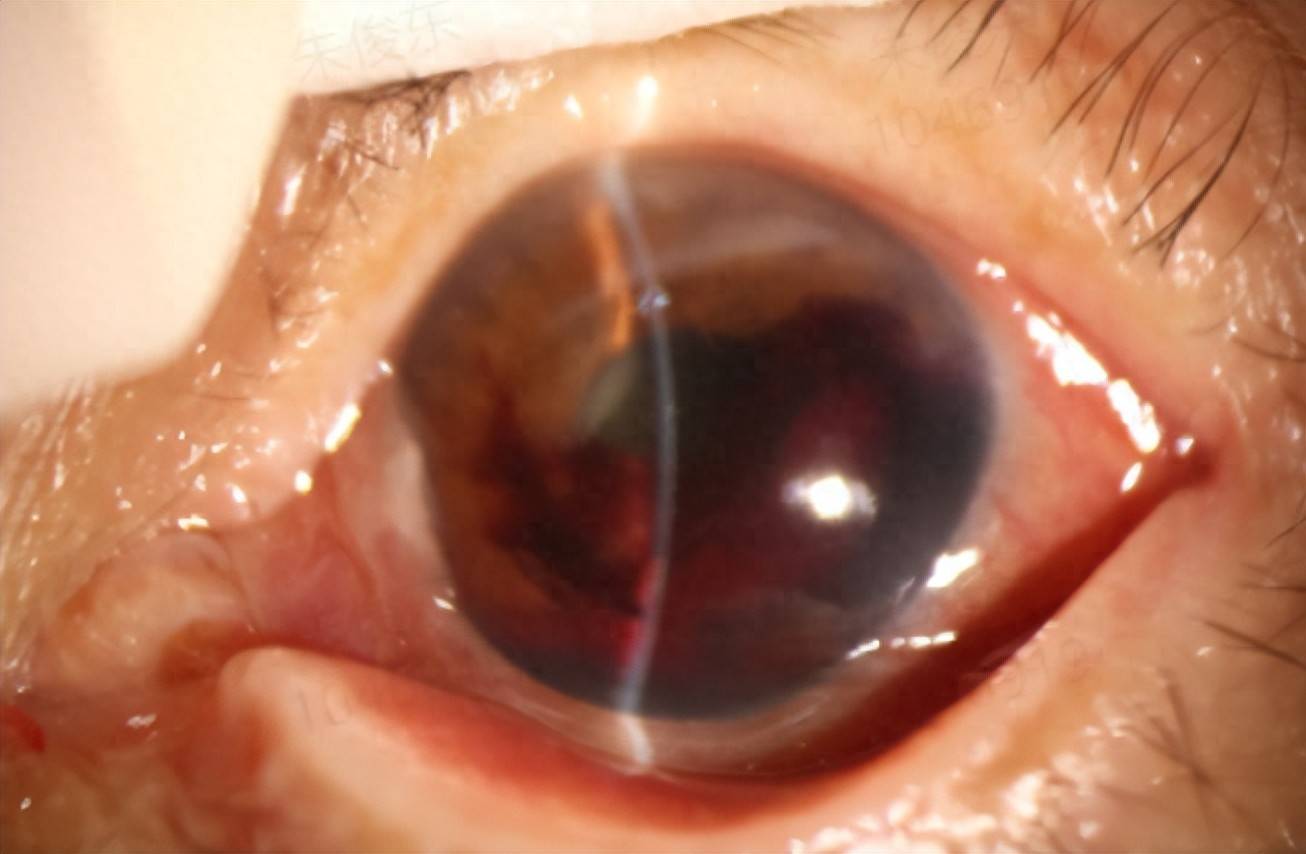
塑料管弹眼致前房积血,68岁阿姨险失明!医生紧急提醒
图片尺寸1306x854
下出现片状出血,且有多根板栗刺插入巩膜和角膜,部分刺甚至穿过了前房
图片尺寸2035x1280
经检查,李军左眼球穿通伤,左眼前房积血,左眼玻璃体积血,曹兴伟副教授
图片尺寸1080x810
前房积血消散后,看到了这样的房角
图片尺寸640x480