前牙唇倾

青苗案例上前牙唇倾77牙列不齐
图片尺寸1080x1439
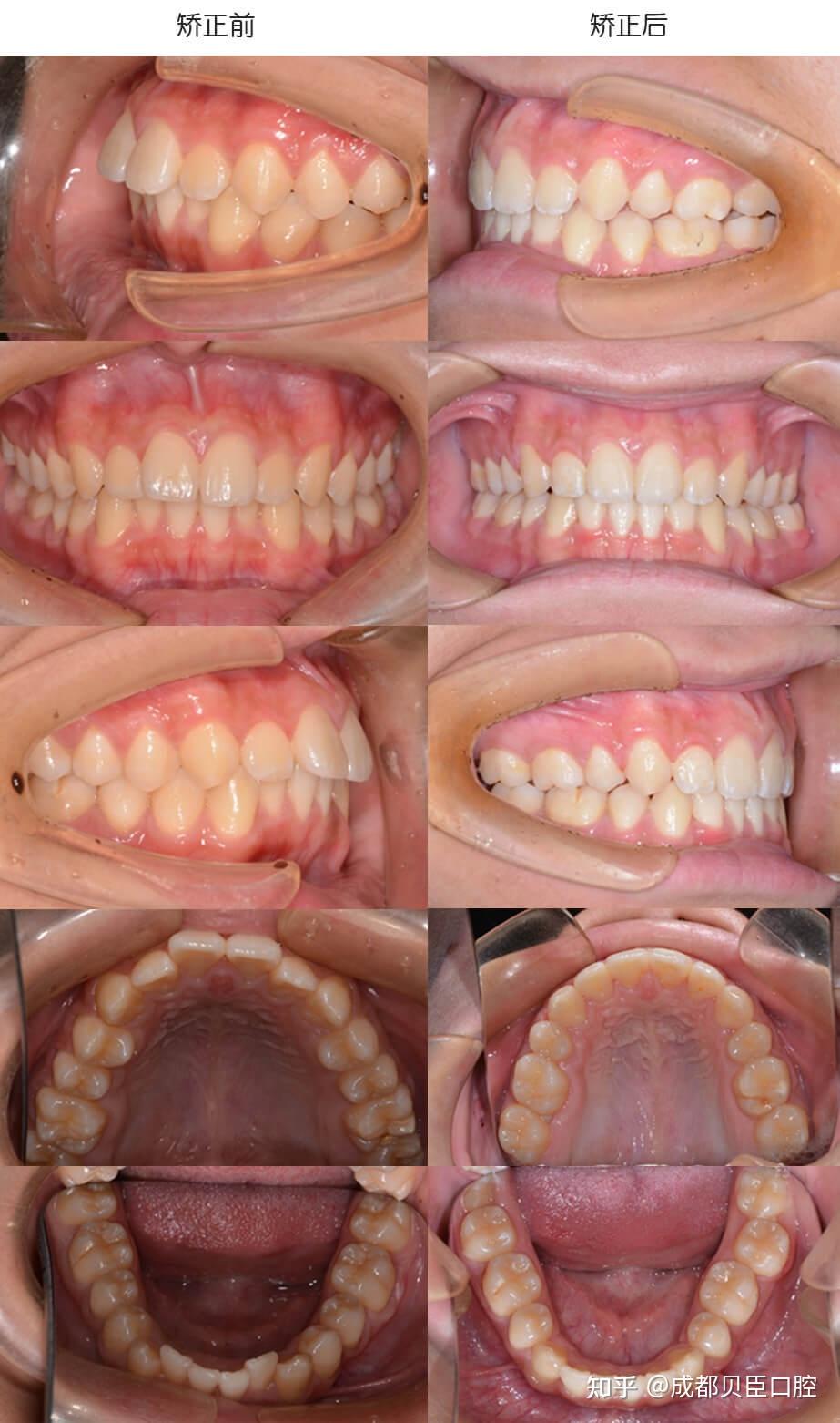
案例分享:前牙唇倾扭转中线不齐矫正
图片尺寸1920x1080
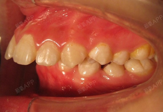
患者上前牙唇倾,覆合及覆盖达三度
图片尺寸690x690
案例分享:前牙唇倾扭转中线不齐矫正
图片尺寸2680x1639
牙升高明显;下颌spee曲线陡;如为传统治疗,需要术前去除前牙唇倾代偿
图片尺寸610x800
针对深覆盖的矫正方法:上前牙过度唇倾,解决问题的核心就是提供间隙
图片尺寸1080x1440
深覆盖和深覆合怎么分这一篇看完就都明白了
图片尺寸992x649
常常表现为开唇露齿,自然状态下双唇不能闭拢,微笑时牙龈外露过多
图片尺寸513x287
福州隐形矫正前牙唇倾牙齿不齐案例
图片尺寸690x690
诊断:1,骨性1类,安氏2类2,均角3,下颌大体正常,上颌牙性前突,前牙唇倾
图片尺寸494x598
女孩的上下牙弓较为狭窄,我在方案设计上需调整前磨牙区弓形改善弓形
图片尺寸660x360
12岁,因前牙唇倾,深覆盖深覆合,拔4颗4隐形矫正,虽然后期正是叛逆期
图片尺寸1280x720
深覆颌唇倾
图片尺寸248x248
rothier,2017邻面去釉,唇倾,扩弓,压低,伸长扭转,牙列拥挤,牙弓狭窄
图片尺寸768x576
重庆牙齿矫正前牙唇倾度大正畸实现饱满微笑和侧貌美观
图片尺寸690x690
前牙深覆盖的求美者一般伴有上牙唇倾的状况,有时还有牙列拥挤.
图片尺寸923x1562
拔牙矫治(拔除14,24,35,45); 上下固定直丝弓矫治(先唇倾上前牙
图片尺寸1705x876
上下牙列轻度拥挤,上切牙唇倾,下切牙直立.
图片尺寸570x390
这孩子目前三年三个月大,上下颌均处于乳牙列时期,牙齿也非常整齐孩子
图片尺寸1080x720
中山牙齿矫正前牙唇倾度大正畸实现侧貌协调美观
图片尺寸690x690