前牙开合图片

开合,前牙咬不拢(儿童,青少年及成人)
图片尺寸800x533
大家一般对牙齿不齐,面形前突和反合牙比较敏感,对咬合深度等方面的
图片尺寸380x222
开合.jpg
图片尺寸1500x600
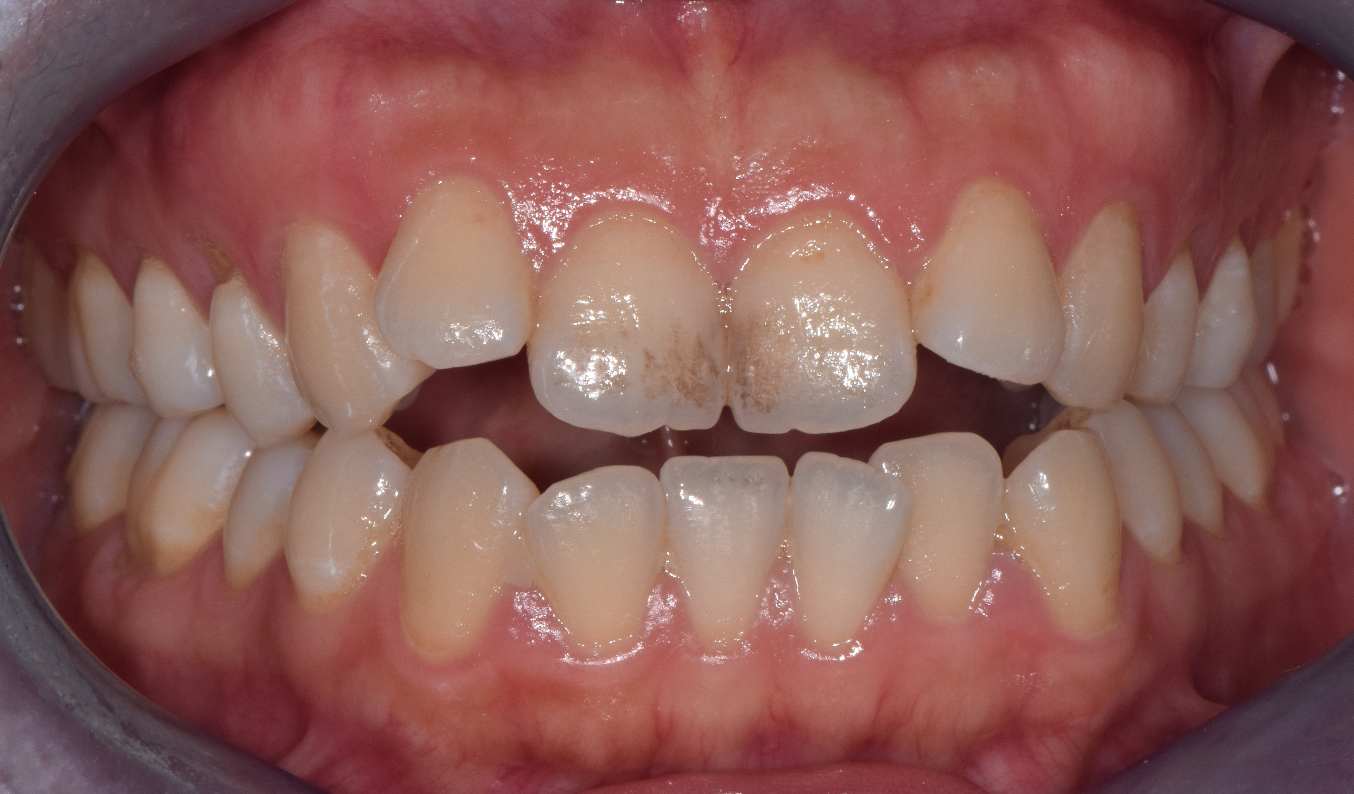
未成年前牙开合病例
图片尺寸828x1156
牙齿矫正 - 抖音
图片尺寸1920x868
未成年前牙开合病例
图片尺寸828x1156
科普什么样的牙需要牙齿矫正
图片尺寸1080x540
前牙开合矫正方法是什么,效果如何?
图片尺寸484x484
前牙深覆合6) 前牙深覆盖7) 前牙开合错合畸形的危害
图片尺寸1085x723
【专题讨论】开(牙合),这个病案有什么好的手段和方法?
图片尺寸4000x3000
牙齿骨性开颌可以带牙套解决吗? - 知乎
图片尺寸800x468
前牙开颌的治疗过程有哪些?
图片尺寸438x240
【专题讨论】开(牙合),这个病案有什么好的手段和方法?
图片尺寸4000x3000
颞下颌关节骨关节病(tmjoa)相关前牙开合(aob)的正畸治疗方法 - 好
图片尺寸2248x1082
2)反颌:王医生还鼓励大家跟牙医交朋友,小朋友们都积极的喊道"哥哥,我
图片尺寸640x406
开颌矫正第一招:压低后牙,前旋下颌-梁爱燕主治医师-爱问医生
图片尺寸4634x2719
颞下颌关节骨关节病(tmjoa)相关前牙开合(aob)的正畸治疗方法 - 好
图片尺寸2360x1200
你不用手术,真的一棵救命草一样 如果再是要我手术,我可能一直牙齿都
图片尺寸2560x1507
比如,前牙开合.比如,牙齿有缝.
图片尺寸1500x1200
颞下颌关节骨关节病(tmjoa)相关前牙开合(aob)的正畸治疗方法 - 好
图片尺寸2202x1106